Diagnóstico de apendicitis aguda

 

 Diagnóstico de apendicitis aguda


Objetivos

Al finalizar la lectura de este artículo, el lector podrá:

1.  El estudiante aprenderá como realizar el diagnóstico temprano y tardío de  Apendicitis aguda

2.  El estudiante  aprenderá como realizar el Diagnóstico diferencial en apendicitis aguda

 

Mapa conceptual

 Manifestaciones clínicas.

El diagnóstico de la apendicitis aguda es sobre todo clínico; sin embargo, se dificulta en los estadios iniciales del cuadro porque los hallazgos pueden ser confusos, en especial en los extremos de la vida y en pacientes que consumen esteroides, analgésicos, antibióticos o que se encuentran inmunosuprimidos.

Los síntomas generalmente comienzan con dolor abdominal localizado con frecuencia en el epigastrio o el área periumbilical, seguido por anorexia y náuseas. Los vómitos, si ocurren, aparecen después. Luego de un período variable, generalmente de alrededor de 4-6 horas, el dolor migra al lado derecho, en forma habitual a la fosa ilíaca derecha. En el momento de la presentación la duración del dolor es menor de 24 horas en 75% de los pacientes.

1)  Los antecedentes los hallazgos físicos clásicos de apendicitis no perforada siguen un patrón razonablemente uniforme y progresan de la siguiente manera:  (Nyhus,1996)                                                                                                                                                                       

2)  anorexia,

3)  dolor leve a moderado en la región abdominal media mal localizado,

4)  náuseas y vómitos,

5)  dolor que migra hacia el cuadrante inferior derecho (CID),

6)  hipersensibilidad a la palpación o defensa localizada sobre el apéndice,

7)  rigidez muscular o "signos perifonéales" en el CID, y

8)  fiebre y leucocitosis, que pueden observarse o no.

Tabla 1 Frecuencia de los síntomas y signos en el síndrome apendicular agudo. (Hay, 1992)

Síntoma o signo

%

Dolor en la fosa ilíaca derecha

100% (por definición)

Náuseas

58%

Vómitos

43%

Anorexia

41%

Dolor periumbilical inicial

49%

Duración < 5 días

69%

Dolor con la descompresión

30%

Defensa en la fosa ilíaca derecha

65%

Leucocitosis > 10.000/μl

63%

Temperatura > 37,5°C

66%

Tomado de Elsevier 2014. Masson EMC - Tratado de medicina Volumen 18  n◦2  junio 2014


Los sucesos típicamente ocurren en este orden en la apendicitis aguda. En Hospital General de Atizapán   del ISEM, se realizó un estudio prospectivo en 2016 a 2017 donde se encontró los siguientes resultados: El tiempo de evolución del cuadro clínico antes de ingresar al hospital fue de dos a tres días en promedio, excepto en casos complicados que llevó en promedio 15 días.

Los meses de mayor prevalencia fueron de marzo a mayo.

El síntoma más común fue el dolor en la fosa iliaca derecha, migración del dolor (90%), náusea o vómito (90%). El síntoma menos común (18%) fue anorexia.

Los signos más comúnmente detectados fueron: McBurney (98.6%) y Von Blumberg (90%). Hernández-Orduña, 2019

El conocimiento de la fisiopatología de la apendicitis ayuda a comprender los signos y los síntomas de la apendicitis aguda. Después de que un fecalito obstruye la luz, el apéndice se distiende debido a la secreción continua de moco. La estimulación de las fibras aferentes viscerales produce un dolor difuso o en la parte media del abdomen, sordo y mal localizado. El peristaltismo puede estar estimulado en una etapa tan temprana de la evolución de la enfermedad que el dolor puede ser paroxístico. A medida que la distensión empeora también lo hace la intensidad del dolor visceral, lo que causa un malestar sordo constante. Finalmente, la inflamación compromete la serosa del apéndice y la superficie peritoneal parietal. En este punto, la hipersensibilidad a la palpación se localiza en el punto de McBurney, él cual describió la hipersensibilidad a la presión con un dedo, independientemente de la ubicación del apéndice, exactamente a 1,5 - 2 pulgadas [aproximadamente 3,8 a 5 cm] desde la espina ilíaca anterosuperior en una línea recta trazada desde esa estructura hasta el ombligo. Este punto corresponde al punto donde el apéndice se une con el ciego. Por lo tanto, la sensación varía de un malestar mal localizado a un dolor constante, moderadamente intenso y precisamente definido. A medida que progresa la reacción inflamatoria la irritación peritoneal se toma cada vez más evidente y se acompaña de fiebre en aumento y leucocitosis. Si la enfermedad no se diagnostica se produce la perforación. El dolor puede ceder en forma transitoria con la perforación porque se alivia la obstrucción, pero esta situación es poco común.

 

Apetito

Muchos autores han afirmado que la anorexia es esencial para el diagnóstico de apendicitis. No hay abdomen agudo con hambre. Es tan constante que debe dudarse de este diagnóstico si el paciente no es anoréxico. Es probable que esto sea una exageración. La anorexia es casi constante. Sí es cierto que el mantenimiento de un apetito normal con una apendicitis en evolución es poco común. La pérdida del apetito que precede al desarrollo del dolor abdominal es un primer hallazgo confiable que debe buscarse específicamente porque los pacientes habitualmente no advierten o no ofrecen esta asociación en forma espontánea.

Vale la pena preguntarle al paciente cuándo comió por última vez y si considera que la cantidad consumida está dentro de lo normal. La disminución del apetito habitual puede ser un hallazgo sutil. La mayoría de los pacientes con apendicitis reconocen cierto grado de anorexia si se les pregunta acerca de ello. Sin embargo, si el proceso inflamatorio es contenido por el epiplón o en el espacio retroperitoneal, la anorexia inicial puede ser nula o trivial. En niños, la anorexia puede estar ausente.

 

Dolor

El dolor abdominal es el síntoma principal de la apendicitis aguda y típicamente aparece después de la anorexia. Vale la pena perder unos minutos para establecer la naturaleza y las características del comienzo del dolor. El paciente a menudo adjudica el dolor a algo que ha comido. Como regla, el malestar no se desarrolla en forma rápida, sino que progresa lentamente como un dolor difuso, intermitente o constante en el epigastrio (Signo de Rove) o alrededor del ombligo: periumbilical (signo de Jacob). El dolor es el síntoma más importante de la apendicitis aguda y a menudo es el inicial.  Esto se debe a que la distensión de la serosa visceral transmite aferencias vía simpática al plexo solar, el que se integra a nivel de T 10 con el dermatoma correspondiente el que traduce el dolor a nivel epigástrico o umbilical. Este dolor suele ser continuo y poco intenso, aunque en ocasiones es de tipo cólico (cólico apendicular).




Éste es un detalle importante de los antecedentes. El dolor es claramente diferente del provocado por una úlcera perforada o un quiste de ovario roto, en cuyo caso los síntomas tienden a ser hiperagudos y severos desde el comienzo. Cuando el dolor comienza en forma súbita en el cuadrante inferior derecho (CID) y es intenso, con signos de dolor a la descompresión desde el principio, es improbable que una apendicitis sea la causa. Sin embargo, la apendicitis puede ser un gran embaucador y algunas veces el dolor es muy intenso desde el comienzo, se origina en el CID y el paciente se retuerce.

El dolor abdominal en un paciente previamente sano no debe ser atribuido a una neurosis. Las personas sanas que se toman el trabajo de trasladarse a la sala de guardia a medianoche con un dolor abdominal vago probablemente deban ser internadas y habrá que considerar una apendicitis en el diagnóstico diferencial de su molestia. La persona promedio puede experimentar una variedad de dolores abdominales con el correr del tiempo, pero no se precipita a la guardia de un hospital ante cada episodio. Si bien el paciente ignora el diagnóstico, el dolor de una enfermedad abdominal mayor típicamente es lo bastante diferente como para hacer que busque atención médica. El dolor que despierta al paciente de un sueño profundo en general es patológico y no psicosomático y siempre debe ser considerado real.

A lo largo de un lapso variable de tan poco como 4 a 6 horas o de hasta 24 a 48 horas, el dolor migra al CID y se estabiliza allí. Cuando el cuadro infeccioso progresa y compromete la serosa parietal, el dolor es somático, la aferencia se integra en la médula lumbar y de ahí vuelve la eferencia como contractura muscular y dolor referido a la FID (4-6 horas). Aun cuando la migración y la localización del dolor no son patognomónicas de apendicitis, son comunes y constituyen signos valiosos cuando están presentes. Una vez que el dolor migra, habitualmente se establece un malestar sordo, constante y severo en el CID. En este momento de la evolución de la apendicitis la mayoría de los pacientes tiene una verdadera sensación de enfermedad. El dolor se hace continuo y severo, de modo que al paciente le resulta molesto moverse y prefiere estar acostado y quieto, a menudo con las piernas flexionadas. Es imposible dormir. A medida que avanza el proceso, el dolor se expande en forma difusa por todo el abdomen. El dolor empeora con los movimientos, la tos y al saltar.

Esta secuencia se produce en un 70 % de los casos; en el 30 % restante el dolor comienza directamente en el cuadrante inferior derecho.  En este caso la irritación local que produce dolor en el sitio del apéndice puede ser el único síntoma. No está claro por qué en algunas circunstancias el dolor sólo es percibido como de comienzo en el CID. El dolor en este punto de migración tiende a ser más severo que el dolor central inicial vago. Sin embargo, puede ser lo suficientemente sutil como para que resulte necesario recurrir al empleo de una variedad de maniobras para provocarlo.

El conocimiento de la mayoría de las posiciones anatómicas comunes del apéndice permitirá su reconocimiento en caso de alteraciones de los patrones y la localización del dolor.

   Dolor atípico: (45%) Es el que no sigue la sucesión clásica de dolor visceral y dolor somático; pudiendo ser somático sólo, localizado en la fosa iliaca derecha desde el principio. Otras  veces depende de la localización del apéndice inflamado, cómo será el cuadro del dolor:

1.  Apéndice localizado en el fondo pelviano: cursa con tenesmo vesical o rectal, (simulando una cistitis) dolor suprapúbico, puede haber diarrea por irritación rectal por intermedio de Fondo de saco de Douglas.

2.  Apéndice localizado subhepático: Dolor localizado en flanco derecho. Puede simular una colecistitis.

3.  Apéndice localizado retrocecal: cursa con dolor dorsolumbar.

4.  Malrotación intestinal con apéndice en fosa iliaca izquierda: suele simular un cuadro de sigmoiditis diverticular. Pero el punto de Mc Burney es positivo del lado derecho.

5.  Apendicitis de localización mesocelíaca. Ingresa en la raíz del mesenterio: curso con un cuadro predominante de íleo. Es la de mayor dificultad diagnóstica. Diferenciar con hernias internas. un apéndice retro ileal puede ocasionar dolor testicular tal vez por irritación de la arteria espermática y el uréter.

6.   Una oclusión febril en una persona joven debe hacer pensar en una apendicitis complicada por un plastrón (perforación con adosamiento de las asas de intestino delgado).

7.   De forma excepcional, una apendicitis puede causar un shock infeccioso, una septicemia o incluso un absceso hepático.

8.   El lactante puede presentar agitación, insomnio, rechazo a la alimentación, diarrea y fiebre elevada que a menudo retrasan el diagnóstico.

9.  En la mujer embarazada, el apéndice se desplaza hacia el hipocondrio derecho después del primer trimestre. En las personas de edad avanzada, las manifestaciones clínicas suelen ser más leves.

 

 

Náuseas y vómitos

La distensión la obstrucción de cualquier estructura luminal producirán náuseas y vómitos. Estos síntomas ocurren tempranamente en el caso de la apendicitis y tienden a estar presentes cuando comienza la anorexia o poco después. Se dice que se producen vómitos en alrededor del 75% de los pacientes con apendicitis aguda, pero en los casos típicos no son prolongados. Por lo general, aparecen poco después del inicio del dolor, aunque en ocasiones preceden a éste. La aparición de náuseas y vómitos antes del dolor no descarta una apendicitis aguda. El paciente vomita una o dos veces y siempre luego del dolor. Uno de los postulados clínicos de la apendicitis aguda es que: “los vómitos nunca preceden al dolor”.  Puede estarlo desde el inicio del cuadro o una vez que se instaló el dolor en FID. En el 50% al  75% ocurren vómitos, pero no son notables ni prolongados y la mayoría de los enfermos sólo vomita una o dos veces.

Muchos pacientes experimentan náuseas si se les mencionan alimentos. Yo les pregunto a los pacientes si su comida favorita les parecería apetecible. Si existe una apendicitis, la mayoría de los pacientes rechazarán su comida favorita o experimentarán náuseas con sólo pensar en ella. Se ha visto que las náuseas y los vómitos son menos comunes en la apendicitis retrocecal y retro ileal. Los vómitos pueden ser menos marcados en los niños.

 

Hipersensibilidad a la palpación y defensa

La referencia de dolor con la tos o con el traslado a los saltos hasta el hospital sugiere irritación peritoneal en el CID y debe buscarse durante el interrogatorio. Lo característico es que para este estadio de la inflamación peritoneal los pacientes con apendicitis aguda prefieran no moverse. Estos pacientes ponen rígido el costado o se lo sostienen cuando tosen y caminan con una leve desviación hacia la derecha en un intento por proteger su CID de movimientos innecesarios. Esta conducta puede observarse durante la entrevista con el paciente y es invalorable.

 

Otros signos y síntomas

A medida que la apendicitis progresa puede desarrollarse un íleo, lo que provocará constipación o por lo menos una disminución de la frecuencia de las deposiciones normales.  Por el contrario, la diarrea no es un componente común de la apendicitis aguda, excepto tal vez en el paciente con una apendicitis pasada por alto (un absceso retrocecal, tabicado, oculto). Estos pacientes pueden presentarse con diarrea, en especial si el absceso se ubica sobre el colon rectosigmoide. Dado que la diarrea es menos común, tiende a confundir al examinador cuando ocurre. Las deposiciones blandas son muy atípicas al comienzo de la enfermedad y deben plantear sospechas acerca de la validez del diagnóstico. La diarrea puede ser más común en los niños que en los pacientes de edad más avanzada.

Pueden aparecer también síntomas miccionales, sobre todo en las apendicitis pélvicas, por la irritación de la vejiga contigua al proceso inflamatorio.

   Clásicamente se pensaba que la cefalea no coexistía con la apendicitis, pero puede hacerlo hasta en el 14 % de los casos, sobre todo en los niños.

El aumento de temperatura es frecuente, aunque poco intenso. Fiebre o febrícula, que irá desde 37,5 y 38 ºC hasta 38,6 ºC de temperatura axilar o rectal, con característica de disociación axilorectal mayor de un grado centígrado (signo de Lennander). Las temperaturas superiores a los 38,5-39 oC son raras y deben hacer pensar en una complicación evolutiva o en otro proceso.

Cuando se hallan desviaciones de estos antecedentes típicos, en general se trata de un individuo estoico que no presta atención a los signos de alarma naturales. Entonces puede ocurrir una perforación contenida, con oscurecimiento de los detalles de la enfermedad previa. Típicamente este paciente puede haber realizado sus actividades diarias normales con sólo un dolor menor, hasta que la fiebre, los escalofríos o un dolor persistente exigieron la atención médica. Una vez que se desarrolla una peritonitis difusa el diagnóstico de apendicitis aguda es más difícil porque cualquiera de cierto número de afecciones pudo haber llevado a ese final. Sin embargo, con un relato detallado de los sucesos que condujeron a la peritonitis a menudo todavía es posible percibir el diagnóstico.

De forma excepcional, una apendicitis puede causar un shock infeccioso, una septicemia o incluso un absceso hepático.

El lactante puede presentar agitación, insomnio, rechazo a la alimentación, diarrea y fiebre elevada que a menudo retrasan el diagnóstico.

En la mujer embarazada, el apéndice se desplaza hacia el hipocondrio derecho después del primer trimestre. En las personas de edad avanzada, las manifestaciones clínicas suelen ser más leves.

     

Exploración física

El examen físico depende de:

a.   la capacidad del enfermo de expresar los síntomas (los enfermos parkinsonianos, con hemiplejías por accidentes cerebrovasculares tienen menor expresión semiológica)

b.   el momento evolutivo del cuadro (antes o después de la perforación)

c.   la localización del apéndice (Perera,2008)

Las alteraciones físicas dependen principalmente de la posición anatómica del apéndice inflamado y de que ya se haya roto cuando se examina por primera vez al paciente.

Siempre debe realizarse un examen físico completo, a pesar de que el dolor abdominal sea la única molestia del paciente, porque muchos procesos patológicos se presentan con dolor abdominal pero no son quirúrgicos. Si se han obtenido antecedentes confiables, un concepto claro de las molestias del paciente puede guiar al examinador.

Cuando hay confusión en cuanto al diagnóstico, es razonable internar al paciente para una observación activa que incluya exámenes abdominales repetidos realizados en forma conveniente, de preferencia por el mismo examinador para minimizar los hallazgos subjetivos. De esta forma, la evolución de signos tales la migración o la localización del dolor o la mejoría objetiva facilitarán un diagnóstico exacto.

Debe comentarse el tema de la administración de medicación para el dolor antes de la evaluación de un abdomen hipersensible. Clásicamente se considera tabú administrar narcóticos a un paciente con dolor abdominal antes del diagnóstico definitivo. La base racional es que estos agentes pueden enmascarar importantes hallazgos físicos, como el dolor a la descompresión sutil. Esto en general es cierto. Sin embargo, en ocasiones un paciente adulto o un niño pueden ser aprensivos o tener una respuesta exagerada al dolor, lo cual imposibilita la realización de un examen confiable. El examinador experimentado puede medicar en forma criteriosa a un paciente así y hallar que el examen físico resulta más fácil y significativo. (Nyhus)

 

Inspección general

Los pacientes con apendicitis suelen preferir estar acostados supinos, con los muslos, en particular el derecho, flexionados porque cualquier movimiento aumenta el dolor. Si se les pide que se muevan lo hacen con lentitud y cautela.

Se debe mirar al paciente. Los ojos son básicos en cuanto a las habilidades de evaluación. Es preciso evitar la compulsión obsesiva de muchos examinadores a apresurarse y palpar el abdomen. Se logra mucha informad útil por medio de la observación de la expresión facial del paciente antes, durante y después de la palpación del abdomen o durante los cambios la postura. Es probable que el paciente que tiene buen aspecto sonríe o ríe durante la palpación del CID no tenga una apendicitis.

El dolor se hace progresivamente más intenso a medida que la enfermedad progresa. Se evitan los movimientos y a menudo las rodillas están flexionadas. La lengua al principio está ligeramente saburral; luego se cubre en forma progresiva y el aliento se hace fétido. No obstante, no existe un signo absoluto de apendicitis aguda, de modo que no debe sorprender encontrar un paciente con lengua perfectamente limpia, húmeda, que tiene una inflamación aguda del apéndice.

Si el paciente  se levanta en forma enérgica y se sostiene el CID (signo de Dunphy) o se rehúsa a toser debido al dolor, se confirma una peritonitis en el CID. Éste puede ser un signo de peritonitis localizada sutil sin que el examinador haya colocado una mano sobre el paciente. Las maniobras adicionales incluyen pedirle al paciente que se levante de la cama. El paciente que se levante en forma fácil y enérgica no tiene signos localizadores. Los pacientes con apendicitis en evolución se levantan con cautela, poniendo rígido o sosteniéndose el lado derecho, o se niegan a moverse. Si se le pide que camine a través de la habitación el paciente con apendicitis lo hará con cautela y con una desviación de la marcha hacia la derecha para evitar la exacerbación del dolor en el CID, e  inclinación   anterior. Con pasos lentos arrastrando   el pie  derecho. Esto  se nota  desde el pasillo cuando llega el paciente. Finalmente, los saltitos sobre el pie derecho exageran el dolor en la apendicitis en evolución.

 

Signos vitales

El examen físico comienza con la obtención de los signos vitales.

Una temperatura normal es común con una apendicitis temprana, en especial durante los estadios de anorexia, dolor vago y vómitos. Si está elevada, temperatura en general llega sólo a 37,2 - 37,7°C. A medida que la enfermedad progresa a dolor a la descompresión en el CID es común, pero no obligatoria, una temperatura de 38,3°C. La temperatura de más de 38,8°C en general, pero no siempre, se asocia con una apendicitis perforada. Un estado febril de más de 38,8°C en una fase muy temprana del proceso patológico (evolución de menos de 8 horas) y sin peritonitis asociada es poco habitual y debe sugerir una causa alternativa de los síntomas. La fiebre no siempre se correlaciona con la severidad de la inflamación. Puede desarrollarse una apendicitis gangrenosa con fiebre o sin ella. Algunos casos inusuales de apendicitis comienzan con escalofríos y fiebre alta, pero esto poco frecuente.

La frecuencia cardíaca suele ser normal en la apendicitis aguda no complicada y por lo tanto no ofrece mucha ayuda diagnóstica. La taquicardia cuando está presente se debe a deshidratación e hipertermia y sugiere  perforación y peritonitis. Incluso en el caso de una apendicitis supurada el pulso puede ser normal a menos que el paciente esté deshidratado y/o haya desarrollado hipertermia.

Un aumento importante de las frecuencias cardiaca y respiratoria, hipotensión arterial, deshidratación, oliguria y fiebre sugieren apendicitis aguda con sepsis abdominal.

 

El examen físico del abdomen

Debe comenzar con la inspección, seguido de la auscultación y la percusión, para terminar con la palpación. Una habitación cómoda y la cobertura apropiada pueden asegurar que el paciente no tiemble o tense la pared abdominal debido a las condiciones ambientales o al pudor.

 

Inspección

 ¿Hay alguna cicatriz? ¿Podría el paciente haber sido sometido a una apendicectomía incidental sin saberlo? Los pacientes con apendicitis retrocecal pueden yacer en posición supina, con la pierna derecha flexionada para evitar que la masa inflamatoria del apéndice se ubique sobre el músculo psoas (un signo del psoas visible). Con los antecedentes apropiados y este hallazgo solo el diagnóstico es casi seguro.

 

Auscultación

A continuación, se entibia el estetoscopio y se auscultan los ruidos intestinales. Muchos pacientes, en especial los niños, pueden desarrollar defensa voluntaria inmediatamente si el estetoscopio está frío. En una apendicitis temprana los ruidos intestinales son relativamente normales y están mantenidos o son sólo levemente hipoactivos. En la apendicitis perforada con peritonitis difusa los ruidos intestinales están ausentes. Una cosa es típica: los ruidos intestinales en general no son hiperactivos, como puede ocurrir con el dolor abdominal de la gastroenteritis o una obstrucción intestinal. Además, puede usarse el estetoscopio para distraer al paciente precavido o que no coopera. La atención del paciente se distrae cuando una persona escucha su abdomen durante uno a dos minutos. El paciente no sospecha que el examinador tenga otro motivo más que escuchar, pero la leve presión hacia abajo con el estetoscopio sobre la pared abdominal mientras se ausculta puede ser un método de palpación indirecta. El paciente distraído que está fingiendo a menudo no referirá dolor, mientras que cuando es palpado directamente con la mano se queja en forma amarga y excesiva. Esta técnica también es útil con el niño que no coopera.

 

Percusión

La percusión del abdomen es una forma conveniente de detectar la irritación peritoneal sin causar un malestar indebido al paciente. El punto de máxima sensibilidad algunas veces puede localizarse sólo por medio de esta técnica. La percusión debe comenzar en el punto más alejado de la sensibilidad percibida por el paciente. Con una inflamación parietal avanzada la percusión en el cuadrante inferior izquierdo producirá dolor a la descompresión en el CID. Éste es un signo de Rovsing sutil.

El examinador experimentado puede detectar una peritonitis sin siquiera colocar una mano en el abdomen por medio del golpeteo accidental de la cama a medida que se aproxima para el interrogatorio. Las sacudidas a la altura de las caderas son similares a los topetazos de un viaje en automóvil y permiten que el examinador reconozca los sitios de máxima sensibilidad. La percusión directa sobre el punto de McBurney es una manera más habilidosa de evaluar el dolor a la descompresión temprano, en lugar de presionar en forma profunda y soltar rápidamente. Este último método con frecuencia provocará "dolor a la descompresión" en muchos pacientes, en especial en los niños, incluso cuando no haya un componente de inflamación parietal. Esto a menudo lleva al sobrediagnóstico de peritonitis.

 

Palpación

Luego se comienza la palpación suave del abdomen. Se deben entibiar las manos ya que los pacientes pueden defenderse voluntariamente de las manos frías. Se comienza en el punto más alejado de dolor. Si se explora primero el área más sensible, el paciente dejará de cooperar por temor al dolor. En ese caso el siguiente intento de palpación puede arruinarse, ya que el paciente desarrollará defensa voluntaria. Esto es particularmente cierto en los niños. Una vez completada una suave palpación metódica en busca del dolor, el proceso debe repetirse con una mano examinadora algo más agresiva. Esta vez se intenta detectar no sólo la sensibilidad más profunda sino también la presencia de alguna masa.


El examinador debe sentir realmente el abdomen. Con demasiada frecuencia el examen es realizado en forma superficial y apresurada sin atención a la localización exacta del malestar. Se palpan ambos lados del abdomen simultáneamente con ambas manos, es decir que se palpa el lado izquierdo con la mano y el lado derechos con la mano izquierda. Esta es la mejor forma de detectar la defensa voluntaria, ya que es imposible que el paciente contraiga en forma voluntaria un solo músculo recto.

Imagen  En la palpación superficial la contractura de los músculos de la pared abdominal se identifica al comparar el tono muscular del área afectada con los músculos distantes. 1) Masa; 2) músculo recto derecho [rígido].  Tomada de Archundia.

 

Defensa: Consiste en la contractura involuntaria de los músculos del abdomen cuando se intenta realizar una palpación profunda. Es un signo que debe alarmar al médico. La defensa involuntaria o rigidez en el CID es un signo de irritación peritoneal.  En caso de una apendicitis es sinónimo de cirugía.  Se debe explorar con sumo cuidado, iniciando la palpación desde una zona alejada, acercándose lentamente hacia el cuadrante inferior derecho. Con la evolución, esta contractura se acentúa, y puede llegar a transformarse en rigidez en los casos de peritonitis (vientre en tabla). En los casos de peritonitis difusa, el dolor con la presión y la defensa se localizan en todo el abdomen, aunque una palpación cuidadosa demostrará un punto de máximo dolor en el punto donde está situado el apéndice.

Debe recalcarse que los únicos hallazgos totalmente confiables en la apendicitis aguda están representados por el dolor y la hipersensibilidad localizados y persistentes en el CID. Incluso en ausencia de antecedentes compatibles, anorexia, fiebre, leucocitosis u otros hallazgos clásicos, la hipersensibilidad inexplicable en el CID es potencialmente una apendicitis hasta que se demuestre otra cosa. La no adhesión a este principio a veces lleva a la omisión del diagnóstico. Sin embargo, debe recordarse que la hipersensibilidad abdominal localizada con frecuencia está ausente al comienzo y no es específica de apendicitis aguda.

Clásicamente la hipersensibilidad de la apendicitis se torna máxima en el punto de McBurney, que corresponde a la base del apéndice. Esto es relativamente constante, independientemente de la localización de la punta. Una vez que se confirma la ubicación del dolor en el CID se dedican algunos minutos más al examen de tres o cuatro áreas diferentes al azar. Se palpa cada punto, preguntando si es el sitio de máxima sensibilidad. Uno de los sitios siempre es el punto de McBurney.

Es preciso realizar una variedad de maniobras durante el examen físico para provocar la manifestación más temprana posible de hipersensibilidad localizada en el CID. Hay que recordar que las variantes de  posición de la punta apendicular  pueden  darnos    manifestaciones diferentes, así mismo, no todos los puntos   o signos apendiculares son   adecuadas para cada   variante de posición; en casos  atípicos  es necesario  realizar la  revisión  de   la  mayoría de estos   signos  para  definir  el   cuadro de apendicitis aguda, pudiendo definirse   la variedad de posición.  Lo cual  ayuda  para la decisión quirúrgica  y el abordaje.

Se debe recordar que si el apéndice se encuentra en posición retrocecal alta o está completamente dentro de la pelvis verdadera pueden no existir dolor a la compresión puntual y rigidez muscular. En la apendicitis retrocecal alta puede surgir dolor a la palpación en un área más grande y ausencia de signos de rigidez muscular. En la apendicitis pelviana pueden no observarse dolor a la palpación ni defensa muscular. Ambos signos suelen faltar o expresarse mínimamente en la población añosa.

A medida que la enfermedad progresa puede ser posible palpar una masa dolorosa en la fosa ilíaca derecha. La palpación de una masa difusa con aumento de consistencia y dolorosa en la fosa iliaca derecha debe hacer sospechar la presencia de apendicitis aguda abscedada y peritonitis localizada. Aunque la masa puede ser causada por un absceso, a veces es resultado de adherencias del epiplón y asas de intestino a un apéndice inflamado. Cuando la apendicitis es lo suficientemente avanzada como para que exista una masa grande inflamada y se encuentre comprometida la pared abdominal anterior, el paciente a menudo evita los movimientos súbitos que pueden causar dolor.

 

Examen rectal.

El examen rectal, aunque esencial en todos los pacientes con sospecha de apendicitis, es útil solo en algunos de ellos. En la apendicitis no complicada el dedo del examinador no puede llegar lo suficientemente alto para provocar dolor al tacto rectal.

El tacto rectal es necesario en todos los pacientes con dolor abdominal agudo. Cuando el apéndice se ubica profundo en la pelvis, los hallazgos en la pared abdominal anterior pueden ser mínimos. Las asas del intestino delgado o del epiplón pueden limitar la diseminación de la inflamación y minimizar aún más los hallazgos anteriores. Entonces la máxima sensibilidad ocurre con el tacto rectal o en el fondo de saco de Douglas. Además, si se ha producido la perforación o la formación de un absceso, puede detectarse con el tacto rectal.

 

Tacto vaginal.

Doloroso en los fondos de sacos, los cuales pueden estar abombados (colección purulenta). La vagina o el recto podrán estar calientes marcando un proceso séptico intraabdominal. Otro valor de este proceder o examen es la realización de punción o colposcopia a través de la pared rectal o de los fondos de sacos de Douglas.

Todo paciente con abdomen agudo debe someterse a un tacto rectal con palpación bimanual. En las apendicitis agudas con ubicación profunda en la pelvis suele manifestarse dolor al palpar el Douglas. Además, de existir un absceso en esta zona se la palpa fluctuante, dolorosa y con temperatura diferente de la del resto del recto.

Es importante mencionar que el tacto rectal ayuda a veces a focalizar mejor el dolor de la mano que palpa el abdomen.

 

Los siguientes signos son típicos de la apendicitis:

1.   Signo de Mac Burney. El signo más constante y característico con la palpación es el dolor al presionar en el punto de Mac Burney, situado en la unión del tercio externo y los dos tercios internos de la línea que une la espina ilíaca anterosuperior y el ombligo. Éste es el punto de máximo dolor y signo constante en la apendicitis aguda.


En la mayoría de los casos el lugar de implantación del apéndice sobre el ciego, con relación a la pared abdominal anterior, corresponde al punto medio de la línea que une el
ombligo a la espina ilíaca anterosuperior derecha (punto de MacBurney) (Testut-Latarget).

Puede estar desplazado en aquellos casos en los cuales el apéndice está en una situación anómala. Cuando el apéndice es retrocecal se sitúa en el flanco derecho, por encima de la espina ilíaca anterosuperior. Si se trata de un apéndice pélvico, el dolor tiene una localización suprapúbica, aunque en ocasiones no se produce con la palpación abdominal, sino sólo con el tacto rectal.


2. Signo de Lanz con mayor exactitud, en la unión del tercio derecho y del tercio medio de la línea horizontal que une las dos espinas ilíacas anterosuperiores



3. Signo de Blumberg. Dolor provocado por la descompresión brusca del abdomen. Es un signo útil de irritación peritoneal; cuando el apéndice está en situación retrocecal o pélvica, la inflamación apendicular no produce contractura muscular. Si la descompresión se produce en cualquier parte del abdomen, diferente a la FID: Geneau de Mussy.

Imagen Signo de Blumberg. Tomado de Perera, 2007. Cirugía de urgencia. 2da. edición. Interamericana.

 

4.Signo del psoas. (Cope) (Meltzer Hausman) La flexión activa del muslo derecho provoca dolor o lo aumenta. Es útil en las apendicitis retrocecales. Se denomina signo del psoas la provocación del dolor en las apendicitis retrocecales cuando se flexiona el muslo derecho contra la resistencia del examinador. El mecanismo fisiopatológico que explica la aparición del dolor se basa en el hecho de que el músculo psoas está irritado y contraído en las apendicitis retrocecales que “se apoyan” sobre él. El paciente retrae el muslo y la pelvis de manera involuntaria para disminuir el dolor.


Imagen Signo del psoas. Tomado de Perera, 2007. Cirugía de urgencia. 2da. edición. Interamericana.

 

5. 
Signo del obturador.  (Sachary-Cope) Consiste en la aparición del dolor con la rotación interna pasiva del muslo derecho. Es útil en las apendicitis pélvicas. La ubicación del apéndice cerca del agujero obturador interno origina el signo del mismo nombre al aparecer dolor en el área suprapúbica por la rotación pasiva interna y externa del muslo derecho flexionado.



Imagen Signo del obturador interno. Tomado de Perera, 2007. Cirugía de urgencia. 2da. edición. Interamericana.

 

6.     Signo de Klein. El punto de máximo dolor se desplaza hacia la línea media cuando el paciente adopta la posición de decúbito lateral izquierdo. Este signo es positivo en los casos de linfadenitis mesentérica, ya que se desplazan los ganglios mesentéricos inflamados.

 




7. Maniobra de Mc kessack-Leitch: El paciente se acuesta en decúbito lateral izquierdo con ambos muslos flexionados en forma de ángulo recto con el cuerpo, el examinador extiende el muslo derecho hacia atrás, al mismo tiempo que con su mano izquierda presiona el punto de Mc Burney contra el músculo psoas tenso. (Útil en  apéndice retrocecal).

 8. Signo de Thorkild Rovsing. La presión en el cuadrante inferior izquierdo provoca dolor en el cuadrante inferior derecho. Se produce por el aumento de presión retrógrado del colon

 distiende y moviliza el polo cecal y el apéndice.



Imagen Tomado de Perera, 2007. Cirugía de urgencia. 2da. edición. Interamericana.

 

Existen otros signos que pueden ser útiles en algunos casos de apendicitis sobre todo en los casos especiales o atípicos:

 

   Signos apendiculares

1.   Aarón: sensación de dolor en epigastrio o en la región precordial por la presión en punto de Mc Burney.

2.   Baldwin: Mc Burney con pierna extendida y elevada.

3.   Britar: La palpación del CSD del abdomen produce retracción testicular del mismo lado (apendicitis gangrenada.)

4.    Capurro: Palpación en el ámbito de espina iliaca anterosuperior derecha   con presencia de dolor.

5.   Chase: Dolor en región cecal provocado por el paso rápido y profundo de la mano de izquierda a derecha, a lo largo del colon transverso, a la vez que se oprime el colon descendente.

6.   Chutro: Cicatriz umbilical desviada hacia la derecha.

7.   Cope: punto situado en el medio de una línea que va de la espina iliaca anterosuperior derecha al ombligo.

8.   Donelly:   Dolor por la compresión sobre y debajo del punto de Mc Burney, estando la pierna derecha en extensión y aducción (retrocecales)

9.   Dubard: dolor en FID por la compresión del nervio vago derecho a nivel del cuello.

10.   Dunphy: Dolor en Cuadrante Inferior Derecho al toser.

11.   Guenero de Mossy: Rebote abdominal generalizado.

12.   Head: Hiperestesia cutánea en  FID.

13.   Hesse: Diferencia de temperatura axilar en ambos lados.

14.   Holman: Dolor a la percusión suave sobre la zona de irritación peritoneal.

15.   Horn: Dolor en FID por la tracción suave del testículo derecho.

16.   Ilescu, la descompresión del nervio frénico derecho del cuello produce dolor en FID

17.   Jacob: En la apendicitis aguda  la FII no es dolorosa a la  presión profunda, pero si al retirar bruscamente  la mano.

18.   Jalaguier: punto en el centro de una línea  trazada desde la espina iliaca   anterosuperior derecha a la sínfisis del pubis.

19.   Kahn: Presencia de bradicardia (Gangrenosa).

20.   Kuster: Disminución de movimientos de la pared abdominal en inspiración.

21.   Lanz: Dolor localizado sobre una línea imaginaria trazada de la espina anterosuperior derecha a la izquierda y se localiza en la unión del tercio derecho con los dos tercios izquierdos

22.   Lecene: Palpación  dos dedos atrás de la espina iliaca y dos  por arriba de la misma (retro cecal).

23.   Lennander: diferencia de más de 0.5 grados entre la temperatura axilar y la rectal.

24.   Lezmann: Punto sensible a 5-6 cm de la EIASD en la línea que une ambas espinas

25.   Llambias: Al hacer saltar al enfermo el dolor aumenta en FID.

26.   López Cross Pavlosky: Dolor con Kuster y presión en  fosa iliaca derecha

27.   Lothlissen: punto sensible a 5 cm por abajo de Mc Burney.

28.   Mannaberg: Acentuación del segundo ruido cardiaco en las afecciones inflamatorias del peritoneo.

29.   Mastin: dolor en la región clavicular.

30.    Mc Burney: Se localiza sobre la línea imaginaria que une la espina iliaca anterosuperior con  la cicatriz umbilical y en la unión del tercio medio con el tercio externo.

31.   Meltzer: dolor intenso en FID por la compresión en punto de Mc Burney al mismo tiempo que se levanta en miembro inferior derecho  extendido.

32.   Monro: Punto situado en el punto medio de una línea que une la EIASD con el ombligo.

33.   Morris: punto situado a 4  cm por debajo del ombligo en una línea a que va de este  a la EASD.

34.   Ott: sensación dolorosa, de estiramiento, dentro del abdomen, al poner al paciente en decúbito lateral izquierdo.

35.   Piulachs:   Pinzamiento del flanco derecho con dolor.

36.   Priewalsky: Disminución de la capacidad de sostener elevada la pierna derecha.

37.   Reder: Al realizar el tacto rectal se produce dolor en un punto por encima y a  la derecha del esfínter de  O´Beirne (Banda de fibras en la unión del colon sigmoides y el recto).

38.   Richet y Nette: Contracción de los músculos abductores del muslo derecho.

39.   Roque: La presión continua del punto de Mc Burney provoca en el varón el ascenso del testículo derecho.

40.   Roux: Sensación de resistencia blanda por la palpación del ciego vacío.

41.   Rove: El dolor apendicular en FID es precedido por dolor epigastrio

42.   Rovsing: Palpación de fosa iliaca izquierda   y el paciente refiere dolor en fosa iliaca derecha.

43.   Sattler: Si estando el paciente sentado extiende y levanta la pierna derecha y al mismo tiempo s e presiona el ciego, se produce dolor agudo.

44.   Simón: Retracción o fijación del ombligo durante la inspiración en las peritonitis difusas.

45.   Sonnerburg: Punto situado en la intersección de  la línea que une ambas espinas iliacas anterosuperiores con el musculo recto anterior derecho.

46.   Summer: aumento de la tensión de los músculos abdominales percibido por la palpación superficial de la FID.

47.   Tejerina- Fother-Ingram: La descompresión brusca de FII despierta dolor en FID.

48.   Thomayer: Lado derecho timpánico y el izquierdo mate.

49.   Tressder: el decúbito prono alivia el dolor en las apendicitis.

50.   Von Blumberg: Dolor a la descompresión en el punto de Mc Burney (rebote).

51.   Wachenheim-Reder: Al realizar el tacto rectal se produce dolor referido en FID:

52.   Wynter: Falta de movimientos abdominales durante la respiración.

 

Maniobras apendiculares

1.   Maniobra de Gordi Grau: El enfermo con el abdomen relajado, el índice extendido del examinador resigue en sentido descendente, el surco inguinal hasta alcanzar el nivel del conducto subpubiano. Comprimiendo de esta forma el nervio obturador.

2.   Maniobra de gravitación: Si se limita con exactitud el área de sensibilidad en la parte baja del abdomen y luego se coloca al paciente sobre el lado sano, en un lapso de 15-30 minutos el área de sensibilidad, el dolor y la rigidez son más notables y extensas.

3.   Maniobra de Haussmann: Una vez determinado el dolor en el punto apendicular, se eleva lentamente el miembro extendido hasta formar con el plano de la cama un ángulo de 50 grados, mientras sé continua con la presión en el punto doloroso, en este momento se produce aumento del dolor.

4.   Maniobra de Kerengal: Se coloca al enfermo en decúbito supino igual que en la de Klein se marca el punto doloroso y se coloca al paciente sobre lado izquierdo y se presiona fuertemente en el punto marcado

5.   Maniobra de Mc kessack-Leitch: El paciente se acuesta en decúbito lateral izquierdo con ambos muslos flexionados en forma de ángulo recto con el cuerpo, el examinador extiende el muslo derecho hacia atrás, al mismo tiempo que con su mano izquierda presiona el punto de Mc Burney contra el músculo psoas tenso. (Útil en  apéndice retrocecal).

6.   Maniobra de Reder: al realizar el tacto rectal se produce dolor en un punto por encima y a la derecha del esfínter de O `Beirne (banda de fibras en la unión del colon sigmoides y el recto).

7.   Maniobra de Sam Martino: Se coloca una mano en abdomen para valorar la resistencia muscular, mientras se realiza tacto rectal dilatando el ano con dos dedos. Dando como resultado que la contracción y dolor disminuyen.

8.   Maniobra de Soresi: Si estando el paciente acostado en decúbito supino con los muslos flexionados, se comprime el ángulo hepático del colon. Al mismo tiempo que tose se produce dolor en el punto de Macburney.

 

Triadas apendiculares

1. Triada de Murphy: Dolor abdominal, Náuseas y vómitos, si hay  Fiebre y anorexia Pentada de Murphy.

2. Tríada apendicular de Dielafoy: Hiperestesia, dolor y contractura muscular en fosa iliaca derecha.

3. Triangulo hiperestésico cutáneo de Dielafoy: Sé encuentra en la unión de ombligo a pubis y de pubis a espina iliaca  anterosuperior.

 

John benjamín Murphy (1857-1916)

Reconocido cirujano EE. UU. y médico personal del presidente Roosvelt y maestro de cirugía, fue quien determinó la evolución del dolor apendicular, desde la vaga molestia epigástrica al dolor localizado en la fosa ilíaca derecha entre 6-8-12 hs después. El síndrome apendicular cursará con una serie de síntomas que recabaremos de una correcta y minuciosa anamnesis y de una signología que obtendremos del examen físico. Acuérdense que el médico tiene que conocer los síntomas para poder preguntarlos y los signos para poder buscarlos.

 

Cronología de Murphy

En la cronología de Murphy todos los autores que leí convienen en que la epigastralgia es siempre difusa y soportable, a manera de dispepsia y que desaparece cuando horas después se instala el dolor en la fosa iliaca derecha.

 

 Laboratorio

Se debe remarcar que la apendicitis es esencialmente un diagnóstico clínico; no existen pruebas de laboratorio o radiológicas basta el momento que sean 100% diagnósticas de este cuadro. En todo caso, los datos de laboratorio son complementarios y no pueden sustituir a la historia clínica y a una exploración cuidadosa. En la evaluación de la apendicitis, los datos de laboratorio deben ser confirmatorios, no diagnósticos.

 

Biometría hemática

En la mayoría de los casos existe una leucocitosis ligera, hasta 15.000 leucocitos/ml. Si las cifras son mayores, se debe pensar en una complicación evolutiva. Algunos autores señalan una leucocitosis a predominio polimorfonuclear como una característica importante para el diagnóstico de apendicitis aguda. El recuento leucocitario se encuentra elevado por encima de 12.000 en alrededor de las tres cuartas partes de los pacientes con apendicitis aguda. Sin embargo, se encuentra sólo ligeramente elevado o es normal en el resto, y no se debe descartar el diagnóstico en estas circunstancias.

El recuento diferencial de glóbulos blancos a menudo revela una desviación a la izquierda con aumento en el porcentaje de neutrófilos polimorfonucleares aun cuando el recuento total de glóbulos blancos sea normal. Menos de 4% de los pacientes tendrán simultáneamente glóbulos blancos y recuento diferencial normales. El hecho más importante para recordar al considerar el diagnóstico de apendicitis es que cuando los hallazgos clínicos están alterados tienen preponderancia sobre el recuento de glóbulos blancos.

 La desviación izquierda de la fórmula, con un predominio de los neutrófilos superior al 70 %, y la aparición de formas juveniles en cayado, constituye una mayor ayuda diagnóstica. Esta desviación izquierda aparece de manera casi constante, incluso con un recuento global de leucocitos normal.

En una apendicitis aguda no complicada la regla es leucocitosis moderada, de unos 10 000 a 18 000/ mm3, con predominancia moderada de polimorfonucleares. Cuando las cuentas total y diferencial de leucocitos son normales hay duda acerca del diagnóstico de apendicitis, aunque no se descarta. Si la leucocitosis es mayor de unos 18 000/mm3 o la desviación a la izquierda extrema, es probable que haya apendicitis perforada o una enfermedad inflamatoria aguda de mayor magnitud que la apendicitis.

En un estudio detallado de 493 pacientes con apendicitis aguda, Pieper y col., en 1982, notaron que sólo el 66,7% tenía un recuento leucocitario de 11.000 o más y sólo el 5,5% tenía un recuento elevado a más de 20.000. Doraiswamy puntualizó que la combinación de un recuento leucocitario elevado con neutrofilia es útil para el diagnóstico de apendicitis en niños en particular cuando los valores se ajustan por edad. Este autor encontró que, de 225 niños con apendicitis aguda, el 96% tenía neutrofilia y el 42% mostraba un recuento leucocitario elevado. Como comparación, estas cifras fueron del 30 y del 4%, respectivamente, en 50 niños en los que en la operación se encontró que tenían un apéndice normal y 32 y 3%, respectivamente, en 100 niños cuyo dolor abdominal agudo se resolvió sin operación. Bower y col. encontraron que sólo 15 de 382 niños con apéndices histológicamente inflamados tenían un recuento leucocitario normal y una fórmula normal simultánea. (Samperio, Maingot, Schwartz, Shakelford, Nyhus)

En el diagnóstico precoz de apendicitis aguda las pruebas de laboratorio son de poco valor. Hasta un tercio de los pacientes, en particular los más añosos, tendrán un recuento de leucocitos normal, y más de la mitad tendrán, como mucho, una elevación leve. Aun cuando el recuento total de leucocitos y el recuento diferencial de glóbulos blancos son anormales, el grado de anormalidad no se correlaciona bien con el grado de inflamación del apéndice.

Recordar: En los pacientes inmunodeprimidos (HIV) y en los ancianos no debe esperarse la elevación de los glóbulos blancos.

Un recuento de leucocitos elevado durante el curso temprano de una apendicitis no es usual y debe llevar a la búsqueda de un diagnóstico alternativo. La leucocitosis es común en la apendicitis aguda pero un recuento normal de leucocitos de ningún modo excluye el diagnóstico. Además, la creencia de que la normalización del recuento de leucocitos durante la observación activa indica que el paciente está mejorando y no tiene apendicitis no es válida y a veces determina la omisión del diagnóstico.

La velocidad de sedimentación globular está normalmente acelerada.

 

Examen General de Orina

Puede ser útil un análisis de orina para descartar las vías urinarias como fuente de infección. Aunque es posible que existan varios glóbulos blancos o rojos por irritación ureteral o vesical, como resultado de un apéndice inflamado en variedad de posición pélvica o retrocecal  por su contacto con  el uréter o la vejiga; en la apendicitis aguda no suele observarse bacteriuria en muestras de orina obtenidas por cateterismo. El examen de la orina puede mostrar hematuria o piuria ligeras, si el apéndice inflamado está en contacto con la vía excretora renal e incluso en casos en los cuales no existe este contacto. Sin embargo, en la apendicitis no se observa baciluria en una orina reciente por cateterismo, lo que permite diferenciarla de una infección de vías urinarias.

Las cifras elevadas de leucocitos o hematíes en la orina deben hacer pensar en una enfermedad renal, aunque no descartan totalmente una apendicitis.  La presencia de hematuria o piocitos señala una infección del tracto urinario, pero no excluye de ninguna manera la apendicitis aguda.  La ausencia de sangre en ésta elimina la posibilidad de cálculos renales o ureterales. La presencia de piuria por lo general depende de una cistitis o pielonefritis.

 

Otros estudios.

 La química sanguínea, las pruebas para el diagnóstico de embarazo, para VIH-sida y las reacciones febriles son útiles para el diagnóstico integral y diferencial.

Si existe apendicitis avanzada y formación de abscesos o peritonitis generalizada puede haber anormalidades en las pruebas de función hepática que simulan ictericia obstructiva, estasis biliar u otros problemas hepáticos primarios.

Otros marcadores se han descrito  sin ser concluyentes en el diagnostico. Marcadores nuevos como lactoferrina, calprotectina, d-lactato. (Thuijls, 2011. Athie, 2008. Lameris, 2009. Filiz, 2010)

 

Proteína C reactiva

Se han introducido marcadores inflamatorios como potenciales marcadores de apendicitis aguda. También es una prueba poco específica. En conjunto, el valor de la PCR es más elevado en los casos de AA con respecto a otras causas no quirúrgicas de dolor abdominal. Sin embargo, su valor, por sí mismo, no se debe utilizar para descartar o postponer una intervención quirúrgica, ya que en las primeras etapas la cifra se superpone en gran medida con las encontradas en otros procesos. Sin embargo, recomendamos realizar su determinación ya que el hallazgo de una PCR mayor de 40 mg/l debe hacernos sospechar la existencia de una AA gangrenada, por lo que se agilizarán los preparativos quirúrgicos y la realización de profilaxis antibiótica de amplio espectro que cubra los gérmenes más frecuentes (E. coli, Bacteroides fragilis, Peptostreptococcus, Pseudomonas, etc.).

La Proteína C reactiva, se  ha encontrado una tasa   de resultados negativos falsos de 3% y positivos falsos de 11%, con una sensibilidad de 93.5% y especificada de 80%.

La proteína C reactiva (PCR) en combinación con el recuento de glóbulos blancos, y el recuento diferencial han sido útiles en unos pocos estudios para mejorar la precisión diagnóstica. Se ha llamado prueba triple   que sugiere altamente la presencia de apendicitis ante un cuadro clínico sugestivo:

1.    PCR  por arriba de 8 mcg / ml.

2.    Leucocitosis superior a 11, 000.

3.    Neutrofilia por arriba de 75%.

En datos más recientes, Kaya y colaboradores publicaron un artículo donde  evalúan el uso diagnóstico del dímero D (DD), procalcitonina (PCT) y proteína C reactiva (PCR). Ellos realizaron un trabajo prospectivo, estudiando a 78 pacientes consecutivos a los que se sometió a cirugía con diagnóstico de apendicitis aguda. A estos pacientes previamente se les tomaron muestras de sangre para medir los niveles de DD, PCT, PCR y leucocitos. (Kaya, 2012)

Sus resultados demostraron que 69.2% de sus pacientes fueron del sexo masculino y 30.8% fueron del sexo femenino con una edad promedio de 25.4 años (18-69 años). De este grupo, 60.3% presentó apendicitis con flemón, 24.3% apendicitis gangrenada, 10.2% apendicitis perforada y finalmente 5.2% con apéndice normal. Del total de pacientes 84.6% presentó leucocitosis.

La PCT sólo se elevó en 25.6% de los pacientes estudiados, mientras que el DD se elevó sólo en 28.2% y la PCR en 69.2%. Sin embargo, del grupo de pacientes con perforación del apéndice, la PCR se encontró elevada en el 100% de los casos, pero la PCT sólo se elevó en la mitad de los casos. La PCR se mostró con diferencia significativa entre el grupo de apendicitis con flemón y el grupo de apendicitis perforada. Por otro lado, la PCT y el DD no tuvieron diferencia significativa entre el grupo de apendicitis con flemón y la perforada. También se determinó que la PCR es útil para poder diferenciar entre una apendicitis con flemón y una apendicitis negativa. El mayor valor diagnóstico se demostró para la cuenta de leucocitos y de PCR, mientras que fue muy baja para PCT y DD (26 y 31%, respectivamente). (Kaya, 2012)

Se concluyó que sólo la PCR aparenta ser útil en la evaluación de la apendicitis aguda y que sus niveles están en relación directa con el grado de inflamación apendicular; sin embargo, no recomiendan el uso de PCR  sola para tomar una decisión de sí someter a un paciente a cirugía o no. (Kaya, 2012)

Por otro lado, Noh y colaboradores en Korea, realizaron un estudio retrospectivo evaluando marcadores de laboratorio en niños con apendicitis complicada. Ellos investigaron a 421 pacientes menores de 15 años que fueron sometidos a tratamiento quirúrgico para apendicitis aguda. Se incluyeron las siguientes variables: sexo, edad, leucocitos, proteína C reactiva (PCR), bilirrubina total (BT), aspartato aminotransferasa (AST) y alanina aminotransferasa (ALT). (Noh, 2012)

Los resultados demostraron 61% de pacientes masculinos y 39% femeninos con diagnóstico de apendicitis complicada. La edad promedio fue 10.3 años. La BT promedió en 0.9 mg/dl (normal < 1 mg/dl), leucocitos promedio de 16.4 x 103 μl (normal 4.4-10.0 x 103 μl), PCR promedio 6.2 mg/dl (normal < 0.5 mg/dl). No hubo diferencias significativas con AST y ALT. También demostraron diferencias estadísticamente significativas entre grupos de apendicitis simple y complicada en los niveles de BT, leucocitos y PCR.

En ese trabajo se concluyó que el uso de los leucocitos, PCR y BT tienen valor diagnóstico significativo en la apendicitis complicada, siendo los leucocitos y PCR los que tienen mayor sensibilidad y la BT la de mayor especificidad para dicha entidad. (Noh, 2012)

 

 Diagnóstico por imagen

Si los antecedentes son clásicos y el examen físico es compatible con el diagnóstico, no debe desperdiciarse el dinero ni el tiempo en una radiografía. Por otra parte, si los antecedentes son atípicos o no pueden conseguirse o el examen físico es equívoco, las radiografías pueden ser útiles, en especial para descartar otras enfermedades. En la mujer debe efectuarse una prueba de embarazo, no sólo para excluir esta posibilidad sino también como una precaución medicolegal antes de cualquier operación electiva. Más allá de estas consideraciones, hay poca necesidad de realizar análisis de laboratorio o radiológicos en la mayoría de los pacientes con apendicitis. Nyhus

 

Radiología simple

Las placas simples de abdomen con el paciente acostado y de pie tienen valor para el diagnóstico diferencial del dolor abdominal agudo, pero las características radiológicas a menudo son inespecíficas y deben ser interpretadas con cuidado. Maingot A pesar de que la radiografía simple de abdomen hace parte del abordaje diagnóstico inicial de algunas patologías que producen dolor abdominal agudo (por ejemplo: urolitiasis, obstrucción intestinal, etc.), no se recomienda para el estudio de un paciente con sospecha de apendicitis aguda, ya que en el 68 % de los casos los hallazgos son inespecíficos y se ha reportado una sensibilidad tan baja como del 0 % para esta entidad (Stoker, 2009. Parks, 2011. Schwartz, 2008. Rao, 1999. Petroianu, 2012).

Se toman proyecciones de pie y en decúbito dorsal. 20 a 40% de las placas puede interpretarse como normal. (CMCG)

Lo más habitual es que esta prueba se practique de forma sistemática en los servicios de urgencia, aunque su rentabilidad en la apendicitis es baja. Se ha descrito una cantidad de signos radiológicos en las placas simples de abdomen en pacientes con apendicitis aguda. La radiografía simple de abdomen ofrece datos sugestivos de irritación peritoneal.

Brooks y Killien los enumeran de la siguiente forma (Maingot):

1.   niveles líquidos localizados en el ciego y el íleon terminal,

2.   íleo localizado, con gas en el ciego, el colon ascendente o el íleon terminal, (entre el 51 y el 81 %)

3.   aumento de la densidad de los tejidos blandos en el cuadrante inferior derecho, (entre el 12 y el 33 %).

4.   borramiento de la banda del flanco derecho, que es la línea radiolúcida producida por la grasa que se encuentra entre el peritoneo y el músculo transverso del abdomen,

5.   un fecalito en la fosa ilíaca derecha que puede ser confundido con un cálculo ureteral, un cálculo biliar o un ganglio mesentérico calcificado. El  Apendicolito de 0.5 a 1 cm, redondo u oval, laminado o no. (5-15%) para algunos autores único hallazgo patognomónico de apendicitis aguda.

6.   borramiento de la sombra del psoas del lado derecho,

7.   un apéndice lleno de gas,

8.   Escoliosis de concavidad derecha (secundaria a espasmo de psoas derecho). Posición antiálgica (desviación de la columna al sitio del dolor).

9.   Imagen de vidrio despulido en fosa iliaca derecha.

10.   gas intraperitoneal libre 

11.   deformación de la sombra gaseosa del ciego producida por una masa inflamatoria adyacente. (entre el 4 y el 5 %). Esto es difícil de interpretar, ya que puede haber alteraciones en la distribución del gas del ciego producidas por líquido o heces intraluminales. (maingot) (Ahn, 2002. Krishnamoorthi, 2011).

12.   Petroianu et al. (2012) describieron el nuevo signo de la ‘carga fecal en el ciego’, que consiste en la presencia de un material con una densidad de tejidos blandos y de burbujas radiolúcidas en su interior, que ocupa el ciego (materia fecal) en pacientes con dolor en la fosa iliaca derecha. Tiene una sensibilidad del 97 %, una especificidad del 85 %, un valor predictivo positivo del 78,9 % y un valor predictivo negativo del 98 % para el diagnóstico de apendicitis aguda.

Brooks y Killen revisaron, sin saber el diagnóstico, las placas de 200 pacientes que habían sido sometidos a laparotomía por una apendicitis aguda. El 45% de los casos de apendicitis aguda sin perforación tenían uno o más de estos signos y las cifras aumentaban al 80% en los casos avanzados. Sin embargo, 14 de 41 casos en los que el apéndice no se encontraba inflamado agudamente (37%) tuvieron signos radiológicos similares, 12 de éstos tenían otra lesión aguda, como ruptura de un folículo ovárico u obstrucción intestinal, pero en 3 no hubo hallazgos anormales en la operación.


Saebo publicó tres ejemplos de neumoperitoneo asociado con un apéndice perforado y encontró otros 40 trabajos publicados acerca de este cuadro. Este autor señaló que, debido a que la apendicectomía a menudo se realiza sin hacer radiografías previas de abdomen, puede haber muchos más casos de los que aparecen publicados. Yo mismo he encontrado hace poco uno de estos casos por primera vez.


 Figura. Radiografía de abdomen en proyección frontal, (a) en posición vertical y (b) en decúbito supino. Se visualiza un patrón gaseoso intestinal anormal, dado por la dilatación de las asas intestinales delgadas en el hemiabdomen superior, sin configurar un patrón obstructivo en una paciente con plastrón apendicular; este es un hallazgo sugestivo de íleo, el cual se visualiza con frecuencia en pacientes con apendicitis aguda. c) Acercamiento de una radiografía de abdomen en el cuadrante inferior derecho en el cual se visualiza una imagen con morfología ovalada y una densidad de calcio que corresponde a un apendicolito (flecha). Tomado de Maingot


Figura. Radiografía de abdomen sin preparación con un coprolito (flecha) y niveles hidroaéreos (asteriscos) de oclusión intestinal en un niño con peritonitis apendicular. Tomado de  Elsevier, 2005. Tratado de pediatría.

 

Radiografías de tórax

En ocasiones se requieren radiografías de tórax para descartar una afección en el campo inferior del pulmón derecho, ya que es posible que las lesiones que irritan nervios en Tl0, T11 y T12 simulen apendicitis. (Samperio,). Pueden descartar neumoperitoneo  y enfermedad en campos pulmonares basales. (CMCG)

 

Colon por enema

El uso de un enema de bario de urgencia se limita solo a los estados unidos y raramente o nunca se ordena en el Reino Unido. Smith y col. enumeran los signos radiológicos de apendicitis después del enema de bario de la siguiente forma:

1) falta persistente de visualización del apéndice (aunque esto sucede en el 5 al 10% de los exámenes con enema de bario de apéndices normales),

2) visualización parcial del apéndice,

3) defectos de presión en el ciego y


4) irritabilidad del ciego y el íleon terminal en el estudio de detección.



Figura de colon con enema con exclusión del apéndice. Tomado de  Maingot

 

En raros casos, incluso un apéndice agudamente inflamado se ha llenado con bario en el examen radiológico. Los autores que publicaron estos casos señalan que la perforación del apéndice inflamado producida por el examen radiológico es improbable y también remarcan que aconsejan la realización de un enema de bario sólo en casos equívocos. (maingot, 2007)

 

Ultrasonido

El uso del ultrasonido como una herramienta para el diagnóstico de la apendicitis aguda se describió por primera vez en el año de 1986 por el doctor Puylaert (Rybkin, 2007. Brown, 2008. Parks, 2011), desde entonces se ha convertido en una de las principales técnicas de imagen para el diagnóstico de esta entidad, con especial relevancia en los pacientes pediátricos y en mujeres gestantes (Williams, 2007. Hernanz-Schulman, 2010).

Si con la historia clínica y la exploración física no podemos descartar ni confirmar la AA, la eco abdominal es la prueba de imagen de elección con una sensibilidad del 92.9%, especificidad del 95.9%.

En pediatría se ha convertido en una prueba corriente desde que el diagnóstico clínico no es típico o para descartar determinados diagnósticos diferenciales, especialmente en la adolescente. Un estudio reciente (Dueholm, 1989. Kaiser, 2004) muestra que la ecografía se practica ampliamente en la actualidad y que permite disminuir el número de niños operados con un apéndice normal (del 24% en 1991 al 4% en 2000). La ecografía en el niño posee una sensibilidad del 94% y una especificidad del 95% con un operador adiestrado (Kaiser, 2004).

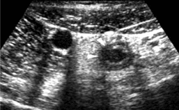
El apéndice cecal normal Se ha descrito en ultrasonidos como una estructura tubular, colapsable y llena de líquido, que mide en promedio 3-6 mm de diámetro transverso, con un extremo ciego en el eje longitudinal y una configuración ovoide en el plano axial. El apéndice es usualmente curvo y puede ser tortuoso. El espesor de su pared no debe exceder de 2 mm, con contenido líquido en su interior e hiperecogenicidad de la mucosa. Se diferencia de las asas intestinales delgadas por la ausencia de peristaltismo y de cambios en su configuración durante todo el examen. (CMCG,2008)

 Figura. Aspecto ecográfico del apéndice cecal normal. a) Imagen axial que muestra la apariencia de anillos concéntricos de ecogenicidad alternante (flechas blancas) que representan la mucosa, muscular y serosa del apéndice. b) En el eje longitudinal se observa el apéndice cecal en su localización más habitual (flechas blancas), en posición medial a los vasos iliacos (Doppler color - flecha naranja).

 

Cabe recalcar que el apéndice normal es compresible, móvil y no presenta alteración de la ecogenicidad de la grasa circundante. La no visualización del apéndice cecal en manos expertas tiene un valor predictivo negativo (VPN) del 90 % (Rybkin, 2007. Brown, 2008).



FIGURA  Ecografía de un apéndice normal (arriba) en la que se puede apreciar el espesor reducido de la pared en los planos frontal (izquierda) y longitudinal (derecha). En la apendicitis se produce una distensión y un aumento del espesor de la pared (abajo, derecha) y un aumento del flujo sanguíneo, lo que da lugar a lo que se conoce como imagen en anillo de fuego. A, apéndice.

 

Algunos autores han clasificado los  hallazgos ecográficos en:

Diagnóstico de certeza:

·      Estructura tubular no compresible de diámetro transverso > 6 mm.

·      Apendicolito con clínica sugestiva.

Diagnóstico probable:

·      Hiperecogenicidad de la grasa periapendicular.

·      Colección, flemón o absceso apendicular.

Diagnóstico poco probable:

·      Adenopatías peri apendiculares.

   En general los signos positivos del diagnóstico ecográfico son una estructura tubular en fondo de saco de más de 6 mm de diámetro (Kaneko, 2004). Julien y Puylaert han descrito la técnica de la «compresión gradual», que permite la depresión progresiva de la fosa ilíaca derecha con la sonda de ecografía de manera que se visualice mejor el apéndice (Julien, 1986). Éste, cuando es patológico, es rígido y difícil de comprimir, con visualización a veces de un coprolito intraluminal no visible con el ASP, pues todavía no está calcificado. También se puede visualizar un derrame en la cavidad peritoneal periapendicular (absceso) o difuso (peritonitis), teniendo en cuenta que la ausencia de derrame no descarta en absoluto una peritonitis. Por tanto, la ecografía es una prueba a menudo fiable, que se puede repetir y con un coste moderado; debe utilizarse sin vacilar en caso de duda diagnóstica o en las niñas. Una de las limitaciones de esta prueba es la obesidad, debido a la mala ecogenicidad de la grasa.

Los hallazgos ecográficos de apendicitis aguda incluyen:

·
Diámetro transverso mayor a 6 mm: Este parámetro tiene una sensibilidad del 98 % (Sivit, 2001). Sin embargo, hasta el 23 % de los pacientes adultos sanos tienen un apéndice cecal con un diámetro transverso mayor a esta medida. Es por eso por lo que algunos autores proponen que al encontrar un apéndice con un diámetro entre 6 y 9 mm debe considerarse ‘indeterminado’ y deben buscarse otros signos de apendicitis; tales como la no compresibilidad, la forma y la alteración de la ecogenicidad de los tejidos adyacentes ((Rybkin, 2007. Brown, 2008). 

         


Figura. Apendicitis aguda, apariencia en ultrasonido. a) Imagen axial del apéndice cecal sin compresión, en la cual se ve engrosada (calipers), con un diámetro de 13 mm. b) El diámetro del apéndice no se modifica con las maniobras de compresión. Igualmente, se observa una alteración en la ecogenicidad de la grasa adyacente que no es compresible (*).

 

· Apéndice no compresible: El apéndice normal debe ser móvil y compresible. La pérdida de la compresibilidad o que el apéndice adopte una forma circular en las imágenes axiales con compresión plena es un criterio para considerar el diagnóstico de la apendicitis aguda (Kessler, 2004. Strouse, 2010. Brown, 2008)

· Cambios inflamatorios de la grasa circundante: Se ven como un aumento de la ecogenicidad de la grasa periapendicular asociados a una ausencia de la deformación con la compresión (Stoker, 2009. Kosaka, 2007).

·
Aumento de la vascularización visualizada en el Doppler color: Aunque tiene una buena sensibilidad (87 %), se dice que este parámetro no es válido para el diagnóstico de apendicitis aguda, ya que dependiendo del estadio del proceso puede ser positivo o negativo ((Rybkin, 2007. Brown, 2008). 

      

   Figura. Aumento en la vascularización del apéndice por una apendicitis aguda. a) Imagen longitudinal del apéndice con un incremento del flujo de sus paredes en las imágenes con Doppler color (flecha). b) En el Doppler poder, también se evidencia un incremento en el flujo en la pared anterior del apéndice (flecha).

 

·  
Apendicolitos: Estas estructuras son reconocibles solo en el 30 % de los casos de apendicitis, sin embargo, su hallazgo aumenta el riesgo de perforación ((Rybkin, 2007. Brown, 2008).

         

Figura. Apendicitis aguda asociada a un apendicolito. a) Imagen axial del apéndice cecal engrosada (flechas blancas), con un diámetro de 11 mm, el cual no se modifica con las maniobras de compresión en (b). Igualmente, se observa una alteración en la ecogenicidad de la grasa adyacente (*) y una imagen de fecalito, asociadas (flecha negra). c) Ultrasonido en corte longitudinal del apéndice de otro paciente, en el que se visualiza una imagen redondeada ecogénica (flecha) y una sombra acústica posterior en su interior, que representa un apendicolito.

 

·
Signos de perforación: Existen tres signos clásicos de perforación apendicular en US: la colección de fluido periapendicular, la irregularidad de la pared y la presencia de un apendicolito extraluminal Rybkin, 2007. Brown, 2008  No obstante, es común que luego de perforado el apéndice este sea de difícil visualización.


Figura. Apendicitis perforada. Imagen axial de ultrasonido en la que se visualiza el apéndice distendido por un proceso inflamatorio (calipers) asociado a una colección líquida a su alrededor, secundario a la perforación (asterisco).

 

Actualmente los criterios diagnósticos primarios de apendicitis son:

1. 
Visualización de una estructura tubular con clásica apariencia en capas, de sección circular, con un extremo distal ciego y no compresible.


Figuras. Apendicitis. Estructura tubular de sección circular con capas no compresible, con diámetro mayor de 7 mm. (Secundario al engrosamiento de sus paredes).

 

2.  Apéndice en posición fija en la zona de máxima sensibilidad para el paciente.

3. El diámetro anteroposterior debe ser mayor de 7 mm.


Figura. Apendicitis con líquido libre periapendicular. Apéndice inflamado con pequeña cantidad de líquido periapendicular.

 

4. 
Hipervascularización de la pared en el estudio con eco-doppler



 Figuras  . Apendicitis con aumento de vascularización de la pared. Se muestra el apéndice engrosado y con desestructuración de las capas. En la imagen anexa el mismo apéndice inflamado con aumento de vascularización de su pared en el estudio con Doppler.

 

Entre los criterios de segundo orden  o secundarios que apoyan el diagnóstico de apendicitis destacan:

1. 
Apendicolito: imagen hiperecogénica con sombra acústica, que posee alto valor predictivo positivo.


Figura. Apendicitis con apendicolito. En la imagen se visualiza apéndice inflamado con apendicolito en su interior (obsérvese la sombra posterior que deja debido a su calcificación).

 

2. 
Líquido rellenando la luz en un apéndice de pared desestructurada.


Figura. Líquido rellenando la luz en un apéndice de pared desestructurada.

 

3.  Aspecto brillante de la serosa periapendicular.

4.  Aumento en el eco de la grasa mesentérica.

5.  Engrosamiento de la pared del ciego y del íleon.

6.  Líquido periapendicular-libre intrabdominal.

7. 
Adenopatías regionales.

Figura. Adenopatías periapendiculares.

 

En los casos de apendicitis más evolucionadas se añaden además otros hallazgos como:

1. 
Visualización de áreas hipoecogénicas en la submucosa del apéndice: la pérdida de definición de las capas de la pared indica la presencia de fenómenos isquémicos y gangrenosos, con posibilidad de una perforación inminente.

        


Figura  Apendicitis con desestructuración focal de la pared. Apéndice inflamado que muestra una pequeña interrupción de la estructura en capas de su pared, que indica progresión transmural de la infección y el riesgo de una perforación inminente.

 

2. 
Perforación: el apéndice pierde turgencia, su sección es oval y puede dejar de ser visualizado por quedar digerido en el seno del plastrón.

         

Figura. Apéndice perforado. No se visualiza la punta apendicular en relación con perforación.

 

       

  Figura  Cortes ecográficos axiales de una apendicitis complicada, perforada, con estercolito apendicular (transductor de frecuencia intermedia [8,5 MHz]). a. Imagen redondeada ciega de 12,1 mm con estercolito (flecha). b. Derrame por delante del apéndice (flecha).

 

3.  Presencia de plastrón apendicular: es una zona más o menos amplia de hipoecogenicidad mal definida en el seno de la serosa tumefacta y brillante en cuyo interior se puede ver en ocasiones el apéndice o sus restos.

4.  Formación de abscesos que suelen ser difíciles de diferenciar del plastrón e incluso de identificar en el US por la presencia de aire en su interior.

   Entre las causas de error que conducen a diagnósticos falsos negativos en la ecografía están la apendicitis confinada a la punta del apéndice, la apendicitis retrocecal, la apendicitis perforada (en la que las paredes del apéndice  desestructurado  no  son  identificables), el  apéndice  lleno  de  gas  o  un  apéndice  marcadamente aumentado de tamaño que puede confundirse con un segmento de intestino delgado.

    Entre las causas de error que conducen a diagnósticos falsos positivos en la ecografía se encuentran la posibilidad de resolución espontánea, un apéndice normal de más de 7 mm de diámetro transverso, la confusión de la estructura apendicular con una trompa de Falopio dilatada, con fibras del músculo psoas o con un íleon engrosado, y la inflamación del mesoapéndice, que también aparece en otras patologías como la enfermedad de Crohn o los abscesos tubo-ováricos.

 

Tomografía computarizada abdominal (TAC)

La TAC junto con el USG son las dos modalidades diagnósticas más utilizadas para el diagnóstico de la apendicitis aguda. Se han descrito múltiples protocolos de adquisición de imágenes en TC, sin embargo, solo se describirán los más importantes Paulson, 2005. Hilbczuk, 2010. Kim, 2011. Naeger, 2011:

La TAC abdominal focalizada (limitada a la zona apendicular) es una prueba radiológica de rendimiento superior a la eco abdominal para el diagnóstico de AA, sobre todo si se hace con contraste oral o rectal. Las desventajas con la eco abdominal son:

·       Mayor radiación.

·       Mayor costo.

·       Necesidad en ocasiones de sedación (sobre todo en niños pequeños).

·       Uso de contraste.

·       Mayor tiempo de realización.

Por lo tanto, el eco es la prueba de imagen de elección inicial (no es invasiva, no radia y no se usa contraste), y la TAC se reserva para casos de duda diagnóstica después del eco. Ni la historia clínica, exploración física ni pruebas complementarias solas o en conjunto confirman al 100% la AA, por lo que la observación en el domicilio o en Urgencias y la reevaluación continúan teniendo gran importancia.

   La TC en el diagnóstico de la apendicitis en adultos fue popularizada a finales de 1990 tras la publicación de un estudio prospectivo que proponía el uso de la TC con contraste por vía rectal. Este estudio de Rao y cols se encontró que la TC tenía una exactitud de 98%, aunque la técnica no era la comúnmente utilizada.

Pero la controversia en el uso de la TC en la apendicitis todavía no se ha solventado. Se han publicado trabajos que propugnan el uso de rutina de la TC sin contraste, que proporciona un beneficio que supera los riesgos, y dejar el uso de contraste intravenoso para casos especiales.

   La TC presenta una mayor sensibilidad (90-100%) y especificidad (68-97%) que la ecografía, aunque tiene sus limitaciones.

   Se trata de una exploración que somete al paciente a radiaciones ionizantes (por lo que no se debe utilizar en gestantes ni en niños, y de forma especial en mujeres en edad fértil), presenta un mayor coste y tiene una menor sensibilidad en el estudio de pacientes con poca grasa corporal.

   No  es  operador-dependiente  pero    intérprete dependiente, lo  que  significa  que  las  imágenes  pueden  ser valoradas por otro explorador en otro momento. Los protocolos son variados dada la controversia en cuanto al uso de contraste oral, rectal, intravenoso y en lo que respecta a la extensión del área a valorar.

   El contraste oral permite identificar las asas ileales, facilita la identificación del apéndice y ayuda en el diagnóstico de otras posibles patologías. Sin embargo, es desagradable de ingerir en un paciente con dolor abdominal, con frecuencia no se consigue ingerir todo el volumen deseado y la opacificación de todas las asas requiere 1-2 horas de tiempo de tránsito, con el consiguiente retraso en el diagnóstico.

   Otra opción es la administración de contraste por vía rectal, que consigue una opacificación del marco colónico y ciego en un tiempo mucho menor. Resulta incómoda y engorrosa, y no siempre se logra la distensión de todo el colon.

   El apéndice inflamado capta intensamente contraste intravenoso y esto facilita su identificación en pacientes delgados, apendicitis perforadas o apendicitis precoces. Es de ayuda en la demostración de patología extra apendicular, por lo que se aconseja su administración cuando el paciente tiene una función renal normal.

   La exploración limitada a FID es más rápida, más barata y emite menos radiación, pero no se detectan apéndices fuera de la fosa iliaca ni patología extra apendicular, por lo que parece más conveniente extender el estudio a todo el abdomen, incluyendo la pelvis.

Posee especificidad y sensibilidad muy altas, así como gran precisión diagnóstica, por lo que su futuro es muy promisorio. Su empleo va en aumento y es una gran ayuda diagnóstica que, en pacientes con sospecha de apendicitis aguda, disminuye las laparotomías blancas en forma significativa.

Es muy útil para el diagnóstico diferencial de cuadro abdominal agudo por apendicitis aguda atípica, absceso del cuadrante inferior derecho y otros trastornos. Sus únicos puntos débiles en la actualidad son la baja disponibilidad del equipo y su costo elevado. CMCG)

· TC abdominal total: Se realizan cortes desde las cúpulas diafragmáticas hasta la sínfisis púbica. El grosor de corte es de 5 mm y se administra al paciente entre 100 y 150 cm3 de medio de contraste intravenoso (IV). Además, se administra un medio de contraste entérico por vía oral o rectal 1 hora antes del estudio. Este protocolo tiene una sensibilidad del 96 %, una especificidad del 89 % y una precisión del 94 %. La gran ventaja que tiene este protocolo es que en pacientes con cuadros clínicos poco comunes y sin evidencia imaginológica de una apendicitis brinda un diagnóstico diferencial en el 56 % de los casos.

· TC focalizado: Este protocolo fue diseñado para la búsqueda dirigida de apendicitis en pacientes con un cuadro clínico compatible. Se siguiere realizar cortes de 5 mm desde el polo inferior del riñón derecho hasta la pelvis mayor. Se adquieren imágenes con un medio de contraste oral e IV similar a lo descrito en el protocolo anterior. Este protocolo mostró una sensibilidad cercana al 98 %, con una especificidad también del 98 % y una precisión del 98 %. A pesar de esto, cuando el estudio es negativo para apendicitis, solo en el 39 % de los casos ofrece un diagnóstico diferencial.

· TC de abdomen con contraste intravenoso únicamente: En este protocolo se efectúa la adquisición tomográfica del abdomen desde las cúpulas diafragmáticas hasta los trocánteres mayores luego de la  administración endovenosa de un medio de contraste yodado en una dosis estándar.

Se sugiere hacer el estudio en un equipo multidetector de 64 canales y adquirir las imágenes en fase venosa. Este protocolo muestra una sensibilidad del 100 % (intervalo de confianza entre el 73,5 y el 100 %) y una especificidad del 97,1 % (intervalo de confianza entre el 92,9 y el 99,2 %) (Anderson, 2009. Hekimoglu, 2011. Según algunos autores, omitir el uso del medio de contraste oral disminuye el tiempo de estancia del paciente en el servicio de urgencias y agiliza su diagnóstico y tratamiento Hopkins, 2012.

· TC de abdomen simple: Se realiza una adquisición de la totalidad del abdomen sin la administración del medio de contraste oral ni IV. Lo que se busca demostrar es el aumento del diámetro transverso del apéndice y la alteración de la grasa periapendicular. Este protocolo tiene la ventaja de ser más barato, no requiere preparación del paciente y es más rápido.

Dentro de las desventajas, tiene una tasa de falsos negativos del 7,3 %, sin embargo, esta no es mucho mayor que la de otros protocolos. La sensibilidad informada oscila entre el 84 y el 96 %, la especificidad está entre el 93 y el 99 %, y la precisión es cercana al 97 %. Cuando el examen es negativo para apendicitis ofrece un diagnóstico diferencial solo en el 35 % de los casos.

En la literatura también se ha propuesto utilizar estos mismos protocolos, pero disminuyendo la dosis de radiación, lo cual ha mostrado el mismo rendimiento diagnóstico y ha disminuido la exposición del paciente a la radiación ionizante Kim, 2011., 2012.


El apéndice cecal normal se ve solo entre el 43 y el 82 % de todas las TC de abdomen Chalazonitis, 2008. Brown, 2008. Como ya se revisó en la sección de anatomía, se visualiza como una estructura tubular ciega, de entre 3 y 20 cm de longitud, que mide menos de 6 mm de diámetro. La presencia y/o ausencia de gas en la luz del apéndice no confirma ni descarta el diagnóstico de apendicitis.

 



Figura. Apariencia tomográfica del apéndice cecal normal. Se puede visualizar gas en su interior, las paredes delgadas y un diámetro menor a 6 mm. Acercamiento de una tomografía con medio de contraste oral y endovenoso en un plano coronal (a y b) en las que se visualiza el apéndice de localización periileal y para cecal, respectivamente. c) Acercamiento de una TC de abdomen en plano sagital en la que se visualiza el apéndice cecal de morfología y calibre normal de localización retrocecal.

 

Existen hallazgos primarios y secundarios de apendicitis en la TC. Los hallazgos primarios hacen referencia a las alteraciones del apéndice propiamente dicho y los hallazgos secundarios corresponden a la alteración de las estructuras adyacentes por parte del proceso inflamatorio Rybkin, 2007. Brown, 2008.

 

Hallazgos primarios:

1.  Aumento del diámetro transverso: Se habla de aumento del diámetro transverso cuando este es mayor a 6 mm (Sivit, 2001). Se informa una sensibilidad del 93 % y una especificidad del 92 %; no obstante, Brown, et al. (2008) afirman que hasta el 42 % de los adultos sanos tiene el apéndice con un diámetro mayor a este umbral y por ello propone que entre los 6 y los 10 mm se denomine ‘apéndice con diámetro indeterminado’ y se busquen otros signos imagenológicos para apoyar el diagnóstico de apendicitis (Brown, 2008. Parks, 2011).

        

Figura. Corte axial de una TC que muestra el apéndice cecal engrosado, con un diámetro de 12 mm (flechas), sin cambios inflamatorios significativos en la grasa mesentérica periapendicular.

 

2. 
Engrosamiento de la pared del apéndice mayor a 1 mm ((Rybkin, 2007. Brown, 2008). Con una sensibilidad del 66 % y una especificidad del 96 %.

        


Figura. Imagen coronal de una TC con medio de contraste que muestra el apéndice cecal engrosado, con un diámetro de 14 mm (flecha), con engrosamiento y realce heterogéneo de sus paredes (3 mm) y con cambios inflamatorios de la grasa periapendicular.

 

3.   Realce anormal y heterogéneo de la pared. Este hallazgo tiene una sensibilidad del 75 % y una especificidad del 85 %.

4. 
El edema submucoso o estratificación lo que configura el signo del ‘Target’ o de la ‘Diana’ (Brown, 2008. Parks, 2011).

     


    Figura. Corte axial de una TC con medio de contraste que muestra el apéndice engrosado, con pseudoestratificación de sus paredes, lo que configura el signo de la ‘Diana’ (flechas).

 

5. 
Los apendicolitos están presentes entre el 20 y el 40 % de los casos, sin embargo, cuando es así aumentan el riesgo de una perforación ((Rybkin, 2007. Brown, 2008). 


Figura. Reconstrucción coronal de una TC de abdomen con medio de contraste donde se observa el apéndice cecal distendido (flechas blancas), con realce de sus paredes, e imagen calcificada que corresponde a un apendicolito en su base (flecha naranja)

 

 Hallazgos secundarios

1. 
Engrosamiento focal de las paredes del ciego: Este signo tiene una sensibilidad estimada del 69 %, pero una especificidad cercana al 100 %. Dicho engrosamiento focal de la pared del ciego ocurre alrededor de la inserción del apéndice cecal; debido a eso, este proceso forma una imagen de ‘embudo’ que apunta hacia el origen del apéndice y en las tomografías con contraste enteral configura el ‘signo de la cabeza de flecha’ (Brown, 2008). Por otra parte, el ‘signo de la barra cecal’ aparece cuando la pared engrosada del ciego rodea un apendicolito enclavado en la raíz del apéndice ((Rybkin, 2007. Brown, 2008).

          

   Figura. Imágenes de una TC contrastada en el plano axial (a) y sagital (b) que muestran un engrosamiento focal en las paredes del ciego (flecha blanca), secundario a una apendicitis aguda (flecha naranja).

 

2.    
La alteración en la densidad de la grasa periapendicular reporta una sensibilidad de entre el 87 y el 100 %, y una especificidad entre el 74y el 80 % ((Rybkin, 2007. Brown, 2008. Pereira, 2004).

          


   Figura. Corte axial de una TC contrastada, que muestra aumento de la densidad y estriación de la grasa (*), adyacente al proceso inflamatorio apendicular (flecha).

 

3.  Es usual encontrar adenomegalias regionales (Schwartz, 2008).

4. 
Se han descrito al menos cinco signos de perforación que son: la presencia de gas extraluminal, la visualización de un absceso, de flegmón, la presencia de un apendicolito extraluminal o un defecto focal de realce de la pared Rybkin, 2007. Brown, 2008.  La coexistencia de dos de los hallazgos descritos anteriormente tiene una sensibilidad del 95 % y una especificidad del 100 % para una perforación.


Figura. Imagen de una TC con medio de contraste en el plano axial (a) y coronal (b). Extensos cambios inflamatorios de la grasa en la región ileocecal y gas extraluminal en el retroperitoneo por una perforación (flecha negra). Además, es una imagen indicativa de apendicitis con un apendicolito (flecha blanca).

 

La tomografía computarizada se ha evaluado bien en el  adulto para el diagnóstico de apendicitis. Se utiliza poco en el niño debido al alto valor de la ecografía y a la exposición a las radiaciones ionizantes. Sin embargo, tiene una excelente rentabilidad, con una sensibilidad del 87-100% y una especificidad del 89-98% Kaiser, 2004. Rao, 1998. Bouillot, 2001. Stephen, 2003, sobre todo cuando se asocia en el niño a una opacificación cólica. Estos valores dependen menos de la persona que realiza la exploración. Así pues, la tomografía computarizada conserva interés en caso de duda diagnóstica o en caso de sospecha de plastrón apendicular con posibilidad de drenaje percutáneo.

    Es sobre todo la tomografía computarizada (TC), con la identificación de un apéndice de más de 6 mm de diámetro, la que posibilita el diagnóstico de apendicitis aguda en casi el 100% de los casos. Si el tamaño del apéndice es normal, la TC también permite descartar una apendicitis aguda y/o establecer un diagnóstico alternativo. La irradiación no debe tomarse a la ligera, sobre todo en el niño y el adulto joven, por lo que la TC no debe indicarse de forma sistemática. La inyección de medio de contraste está contraindicada en caso de alergia al yodo y de insuficiencia renal.



Figura: Cortes axial (A) y coronal (B) de una apendicitis complicada con plastrón apendicular (tomografía computarizada con inyección en la fase venosa). Apéndice aumentado de tamaño (9 mm) (flecha) y plastrón periapendicular (asterisco).


 

 

 

 

 

 










Figura 26: Cortes axial (A) y coronal (B) de una apendicitis complicada, perforada, con un voluminoso estercolito (tomografía computarizada sin inyección). Apéndice aumentado de tamaño (A, flecha) con derrame e infiltración (A, asterisco). Voluminoso estercolito apendicular en posición pélvica secundaria a una perforación apendicular (B, flecha).



Figura 27: Corte axial en tomografía computarizada de una apendicitis no complicada (con inyección en la fase venosa). Imagen redondeada de 8 mm en posición subcecal, con infiltración de la grasa periapendicular (flecha).



Figura 28: Corte axial en tomografía computarizada de una apendicitis retrocecal (con inyección en la fase venosa). Imagen redondeada de 9 mm en posición retrocecal, con infiltración de la grasa periapendicular (flecha).





Figura 29: Corte axial en tomografía computarizada de una apendicitis pélvica (con inyección en la fase venosa). Estructura ciega de 9 mm en posición pélvica, con infiltración de la grasa periapendicular (flecha).

 

 

Imágenes por resonancia magnética RM

La RM brinda una alta resolución espacial; sin embargo, existen algunas limitantes para la implementación masiva de este método de imagen como lo son su costo elevado, la baja disponibilidad, los tiempos de adquisición largos, los artefactos de movimiento y que la seguridad del Gadolinio en mujeres gestantes es aún controversial Rybkin, 2007. Brown, 2008. Ohle, 2011.

Las indicaciones de la RM son principalmente dos: como alternativa a la TC en niños con sospecha clínica de apendicitis, pero con US no conclusivo; o en mujeres gestantes con sospecha de apendicitis aguda, pero en las cuales el US no confirma ni descarta el diagnóstico Basarn, 2009. Gilo, 2009. Barger, 2010. Guttman, 2004. Petel, 2007.

Singh, et al. (2007) proponen que el médico responda tres preguntas antes de solicitar una RM para una mujer gestante:

· ¿La información aportada por la US no es concluyente?

· ¿La información que brinda la RM cambiará el manejo de la paciente?

· ¿No se puede posponer la RM hasta cuando la paciente se desembarace?

Si luego de realizarse estas tres preguntas el médico considera que la RM está indicada, puede solicitarla.

Existen múltiples protocolos de adquisición de imágenes de RM diseñados para optimizar el tiempo de adquisición, disminuyendo los artificios de movimiento, y de ahorrar tiempo para evitar la aparición de complicaciones por un tratamiento inoportuno, sin perder la resolución espacial y la calidad de la imagen Singh, 2007. Lam, 2008.

Dentro de los protocolos más conocidos están los de respiración libre y los de respiración sostenida (rápidos). El protocolo más utilizado es uno de respiración libre que consta de imágenes potenciadas en T2 con una saturación de grasa; imágenes potenciadas en T1, previo y posterior a la administración de un medio de contraste paramagnético intravenoso.

Este protocolo tiene una sensibilidad entre el 97 y el 100 %, una especificidad entre el 92 y el 93 %, (Singh, 2007); no obstante, como ya se mencionó, aún se discute la seguridad del gadolinio en el primer trimestre de la gestación.

En las RM el apéndice cecal se visualiza como una estructura tubular, ciega, de baja intensidad en T1w y T2w cuando contiene gas o materia fecal, o de la misma intensidad del músculo cuando está colapsada. Es posible visualizar el apéndice hasta en el 62 % de los pacientes normales, y la serie en la que se visualiza mejor esta estructura es la T2w Brown, 2008. Singh, 2007. Los umbrales de tamaño son los mismos que en un US y una TC, y los hallazgos patológicos más representativos son la alta intensidad de la grasa periapendicular en el T2w, asociada a cambios en la pared y al aumento del diámetro transverso del apéndice. Las colecciones y los abscesos periapendiculares también pueden observarse Rybkin, 2007. Brown, 2008.


Figura 29. Imágenes axiales de RM en secuencias SSFSE potenciadas en T2. a) En la imagen se observa un escaso liquido libre, de alta señal, en fosa la iliaca derecha (flecha negra) que está asociado a un aumento en el diámetro del apéndice cecal (flecha blanca en la imagen b) secundario a una apendicitis aguda. Nótese en las imágenes, el útero grávido y la cabeza fetal (*).


Figura 30. Imágenes axiales de RM en secuencias SSFSE con información T1 (a) y T2 con supresión grasa (b). Se observa un asa tubular ciega, engrosada, localizada en la fosa iliaca derecha, con una alteración de la señal de la grasa mesentérica a su alrededor (flecha negra). b) En las secuencias con supresión grasa se observa un líquido libre en la cavidad (flecha blanca), adyacente al apéndice cecal, que indica un proceso inflamatorio.

 

Gammagrafía con tecnecio 99m

En niños con posible apendicitis se han utilizado leucocitos marcados mediante coloide de albúmina con tecnecio 99m. El estudio fue anormal en todos los niños con apendicitis y su valor de predicción negativo 100%. Su limitación fue que no determinó la afección apendicular en 24 por ciento. (Samperio,)


Es un marcador de leucocitos que permite visualizar su concentración en apéndice; no obstante, su utilización es muy limitada por su costo y disponibilidad en las unidades de urgencias de México. Es útil en el diagnóstico de divertículo de Meckel (AMCG)




Figura. Gammagrafía con 99Tc en un caso de divertículo de Meckel complicado CMCG

 

Laparoscopia diagnóstica.

Aunque en la mayoría de los casos de apendicitis se puede establecer el diagnostico exacto a partir de la anamnesis, la exploración física, las pruebas de laboratorio y, si fueran necesarias, las técnicas de imagen, en ocasiones el diagnóstico es más esquivo. En tales casos, una laparoscopia diagnostica permite examinar directamente el apéndice y explorar la cavidad abdominal para identificar otras posibles causas de dolor. Nosotros empleamos esta técnica sobre todo para las mujeres en edad fértil cuando la ecografía o la TC pélvicas preoperatorias no permiten establecer un diagnóstico. A veces, la preocupación por los posibles efectos adversos de una perforación y una peritonitis no diagnosticadas obliga a intervenir antes en este grupo de pacientes.

La laparoscopia es un procedimiento de elección tanto para el diagnóstico como para la terapéutica. Se recomienda realizarlo en áreas quirúrgicas bajo anestesia general para evitar las complicaciones inherentes al procedimiento.

En el síndrome de dolor abdominal del cuadrante inferior derecho, sobre todo en la mujer, es de gran ayuda por su alta especificidad diagnóstica y la posibilidad de practicar un procedimiento terapéutico en forma integral.

Ofrece la ventaja de que posibilita observar toda la cavidad abdominal y descartar alteración de otros órganos como vesícula biliar, estómago, duodeno y páncreas, que pueden causar cuadros que llegan a simular apendicitis aguda. AMCG

A medida que cada vez más cirujanos generales se han capacitado en la laparoscopia, esta investigación ha cobrado un papel muy útil en los casos dudosos de apendicitis. Esto es especialmente cierto si el cirujano está capacitado en este procedimiento y, por supuesto, se dispone del equipo adecuado.

Un interesante estudio realizado por Paterson-Brown y col. demostró que después de la laparoscopia, sólo 3 de 40 pacientes (7,5%) fueron sometidos a una apendicectomía innecesaria, en comparación con 11 de 60 pacientes (22%) operados sin esta investigación. Este estudio es particularmente útil en mujeres. Por supuesto, sólo es posible obtener resultados excelentes en condiciones ideales. Si se aconseja el uso amplio de la laparoscopia como investigación esencial en el manejo del abdomen agudo, los cirujanos generales necesitan entrenamiento para convertirse en laparoscopistas expertos. Maingot

 

Conclusiones de radiodiagnóstico.

Debido a su sensibilidad y especificidad óptimas, consideramos a la ecografía como la técnica de elección primaria en el diagnóstico de la apendicitis aguda.

La ecografía es una técnica especialmente interesante en el diagnóstico en niños y gestantes por la ausencia de radiación. Además, el tiempo de realización es corto, sin necesidad de utilización de contraste ni de preparación previa del paciente.

La TC puede considerarse como prueba de segunda línea en casos en que los resultados obtenidos con  la ecografía no sean concluyentes y persista alta sospecha clínica.

La ausencia de hiperleucocitosis y de aumento de la CRP prácticamente permite descartar una apendicitis, aunque también hay que controlar la CRP a las 24 horas.

    Las formas complicadas de apendicitis aguda rara vez se diagnostican en la fase preoperatoria (disociación anatomoclínica). Se sospechan a partir de dos cuadros clínicos:

 El plastrón apendicular, masa dolorosa y mal limitada de la fosa ilíaca derecha, que evoluciona de forma progresiva desde algunos días atrás y que corresponde a un apéndice perforado sobre el cual se han adosado las tasas de intestino delgado;

 La oclusión febril, que responde al mismo mecanismo, pero el adosamiento de las asas conduce a la oclusión.

    El diagnóstico de ambas formas se hace con la TC y el tratamiento es médico (antibiótico) en un primer momento y quirúrgico a continuación. Las otras apendicitis perforadas se descubren a menudo durante la intervención y el tratamiento es idéntico, con la única diferencia de que el riesgo de absceso postoperatorio es mayor.

 

Evidencia disponible

Se han publicado múltiples artículos con respecto al rendimiento de las diversas modalidades de imagen para el diagnóstico de apendicitis aguda que dependen de variables como la edad, el sexo y de condiciones clínicas específicas. Algunos autores están a favor de realizar imágenes diagnósticas a todos los pacientes con sospecha clínica de apendicitis Krajewski, 2011, otros prefieren que solo se realice dicha pesquisa en los casos dudosos y algunos pocos aseguran que las imágenes diagnósticas no son de utilidad Coursey, 2010

A pesar de la gran controversia que existe al respecto, la doctora Parks, et al. (2011) resumen en su artículo la evidencia disponible para las tres modalidades de imagen utilizadas con mayor frecuencia para el diagnóstico de la apendicitis aguda. Es así, como se han propuesto directrices en torno a qué modalidad de imagen escoger dependiendo del paciente y de las características clínicas particulares (Brennan, 2006. Van Randen, 2008. Stengel, 2010).

En términos generales, para los niños se prefiere el US como abordaje inicial y se da una gran relevancia a los hallazgos clínicos y a la probabilidad pretest para el tratamiento; las imágenes de TC se consideran de segunda elección, solo cuando se consideren necesarias, y se hace énfasis en que lo mejor es evitarlas. La RM aún no se incluye dentro del algoritmo de diagnóstico de rutina.

La conducta que se debe seguir con respecto a las prescripciones de técnicas de diagnóstico por imagen ante la sospecha de apendicitis en el niño puede resumirse proponiendo el árbol de decisión representado en la Figura.


     Figura. Árbol de decisión. Pruebas de diagnóstico por imagen ante la duda diagnóstica de apendicitis. Tomado de  Elsevier, 2005. Tratado de pediatría.

 

Por otra parte, para los adultos se propone que se utilice la herramienta más disponible en la institución donde se esté atendiendo el paciente, bien sea una TC o un US, sin embargo, se sugiere que como primera línea se emplee el US con el fin de evitar al máximo la irradiación al paciente Hernanz, 2010.

Esquema 2. Algoritmo diagnóstico para apendicitis en paciente adulto. Modificado de Hernanz-Schulman M. (Hernanz, 2010)

 

Dificultades diagnósticas

El diagnóstico por imagen de apendicitis aguda muchas veces no es fácil. Las dificultades diagnósticas de esta entidad se pueden agrupar en dos categorías principales: dificultades por el hábito corporal del paciente y dificultades por la localización anómala del apéndice cecal See, 2008. Meinke, 2007. Akbulut, 2010.

En cuanto al hábito corporal del paciente hay que mencionar que, en los pacientes delgados con escasa grasa peritoneal, como es el caso de los niños, es muy difícil diferenciar las diferentes estructuras abdominales en la TC; por otra parte, es muy difícil hacer la ecografía a los pacientes con un abundante tejido adiposo subcutáneo, ya que la grasa limita la propagación del haz del ultrasonido y la ventana acústica.


Otra de las dificultades en el diagnóstico de la apendicitis aguda es la posición anormal o las variantes anatómicas del apéndice cecal. Este puede estar localizado retrocecal, en la fosa hepatorrenal, en una hernia inguinal (figura 18) o incluso en el lado izquierdo del abdomen See, 2008. Meinke, 2007. Akbulut, 2010. No es infrecuente que algunos pacientes con apendicitis simulen cuadros clínicos similares a otras entidades debido a estas localizaciones atípicas (por ejemplo, colecistitis, etc.).

Figura. Localización inusual del apéndice cecal. Corte axial (a) y coronal (b) de una TC que muestran el apéndice cecal (flecha blanca) dentro de una hernia inguinal derecha.

 

 Diagnóstico.

 Pese a los avances tecnológicos y a la gran cantidad de complejos estudios disponibles, la apendicitis continúa siendo un diagnóstico clínico. Es una experiencia clínica gratificante cuando el interrogatorio y el examen físico solos llevan al diagnóstico correcto y la extirpación quirúrgica del órgano afectado da como resultado la recuperación del paciente. Sin embargo, el diagnóstico de apendicitis puede ser oscuro y problemático, en especial en los pacientes de muy corta edad o muy viejos. Afortunadamente, el trastorno es raro en los extremos de la vida.

El diagnóstico se basa en los datos clínicos fundamentales, como dolor abdominal de más de seis horas de duración y sus características (en especial intensidad y migración), anorexia, náuseas, vómitos reflejos, estreñimiento y en algunos casos diarrea. La fiebre orienta hacia la perforación, aun en etapas tempranas. AMCG

El diagnóstico de apendicitis aguda comprende tres componentes: antecedentes compatibles con apendicitis, un examen físico confiable y hallazgos de laboratorio y gabinete que avalen los hallazgos físicos. Cualquiera de estos tres componentes asegura en forma razonable el diagnóstico o, por lo menos, justifican la intervención quirúrgica.

   La existencia de dolor y defensa (contractura dolorosa involuntaria de los músculos de la pared abdominal) al palpar la fosa ilíaca derecha, que puede reproducirse con la descompresión brusca de la fosa ilíaca izquierda, es típica de una apendicitis aguda y casi suficiente para el diagnóstico, a menos que el contexto (mujer joven) orientara hacia un diagnóstico alternativo. Los signos infecciosos analíticos (leucocitosis neutrofílica, presente en 8 de cada 10 casos, y aumento de la proteína C reactiva [CRP] en más de 8 mg/l) son inespecíficos. En este caso se impone la apendicectomía.

   Las exploraciones morfológicas sólo se indican en caso de duda diagnóstica, pero con signos claros (signos peritoneales en la fosa ilíaca derecha de una mujer joven, ausencia de defensa, pero dolor provocado indudable, febrícula y signos analíticos).

Con la apendicitis es típico observar un cuadro atípico. Como escribiera Charles McBurney: "No es posible determinar con seguridad a partir de los síntomas la extensión y la severidad de la enfermedad". Aun los médicos más capaces a veces tienen dificultades para detectar una apendicitis aguda. Los pacientes pueden presentar pocos síntomas, incluso cuando tienen una apendicitis gangrenosa o perforada. A la inversa, un paciente puede presentar signos de peritonitis difusa y tener sólo una apendicitis temprana localizada. Estos signos y síntomas atípicos pueden causar confusión y acentúan la necesidad de dominar los matices de la detección de la enfermedad.

No suele ser difícil establecer este diagnóstico una vez que ocurre la rotura. El paciente se ve muy enfermo, postrado, tóxico, deshidratado y con distensión. El dolor en cuadrante inferior derecho aumenta de intensidad y se disemina en un área un poco mayor. Se dice que el dolor del abdomen disminuye de manera espectacular en el momento de la perforación y unas horas después. Ello se atribuye al alivio súbito de la distensión del apéndice obstruido que causa dolor. Sin embargo, rara vez se observa alivio temporal del dolor y en una serie sólo ocurrió en 4%. En la gran mayoría el dolor no desaparece —al parecer, la peritonitis local es tan eficaz para producir dolor como la distensión del apéndice.

Las alteraciones físicas también son más precisas después de la rotura. En un flemón o absceso periapendicular suele sentirse una masa pastosa, sensible, con bordes mal definidos. La hipersensibilidad, que en la apendicitis aguda simple es un punto, incluye ahora la totalidad del cuadrante inferior derecho. La hipersensibilidad de rebote y la rigidez muscular suelen ser intensas y corresponden a la extensión de la peritonitis local. Sin embargo, igual que la peritonitis aguda simple, las alteraciones físicas dependen de la posición del apéndice. Por ejemplo, es posible que en un absceso pélvico secundario a la rotura de un apéndice en esta área el único dato físico sea una masa sensible pastosa en un tacto rectal. A medida que la peritonitis se disemina aumentan los signos físicos. La distensión del abdomen y el íleo paralítico son más o menos paralelos a la gravedad y duración del proceso inflamatorio.

 

Diagnostico integrado

  De las manifestaciones clínicas y de laboratorio, las que tiene mayor sensibilidad para el diagnóstico de apendicitis aguda son: Manifestaciones cardinales

1.    Dolor característico (migración de la región periumbilical al CID o localización inicial en CID)

2.    Manifestaciones de irritación peritoneal (Defensa  muscular y rebote).

3.    Datos de respuesta inflamatoria (leucocitosis con mayor predominio de neutrófilos)

  

  Philip Thorek reconocido anatomista, semiólogo quirúrgico, docente y escritor de medicina de mediados del siglo pasado (Philadelphia – EE. UU) estableció respecto de la evolución clínica de la apendicitis, los clásicos postulados del dolor y la denominada prueba de las dos preguntas


¿Dónde le comenzó el dolor? 2) ¿Dónde le duele ahora?

Postulados del dolor – Thorek

1.   Toda molestia epigástrica difusa y que en el transcurso de 24 horas se localiza en la FID es una apendicitis aguda, aunque se demuestre lo contrario.

2.   Si el paciente exige calmantes para el dolor, difícilmente se trate de una apendicitis.

3.   Un dolor que se inicie en el hemiabdomen inferior y allí se quede localizado, corresponde más a una enfermedad pelviana que a una apendicitis.

El diagnóstico de la AA se basa principalmente en los hallazgos clínicos, difícil, en especial, en las primeras horas del cuadro clínico. En general, se acepta que un cirujano experto y con práctica habitual en un servicio de urgencias puede tener hasta un 15%  a 20% de apendicectomías negativas, pero esta cifra puede incrementarse, en especial en mujeres menores de 35 años, hasta el 26% al 50%. (Humes, 2011) El diagnóstico tardío o incorrecto puede conllevar a múltiples complicaciones, como infección de la herida quirúrgica (8 a 15%), perforación (5 a 40%), abscesos (2 a 6%), sepsis y muerte (0.5 a 5%). (Truijls, 2011. Athie, 2008)

La variabilidad reportada en los exámenes de laboratorio y gabinete en adultos en los estadios iniciales de la apendicitis va de 50 a 95% de certeza diagnóstica. (Yang, 2006. Lameris, 2009) La mayor utilidad de estos auxiliares diagnósticos es en los servicios pediátricos. (Gendel, 2011)

En los Estados Unidos se incrementó drásticamente el número de tomografías (TC) ante la sospecha de AA en adultos, de 18.5% de los casos en 1998 a 93.2% en el 2007. Las apendicectomías negativas en mujeres menores de 45 años se redujeron de 42.9% en 1998 a 7.1% en 2007. Sin embargo, esto no sucedió en la  población masculina, ni en mujeres mayores de 45 años, a pesar de la TC preoperatoria. (Coursey, 2010) En cuanto a los hallazgos en los exámenes de laboratorio, ninguna de estas pruebas confirma o excluye el diagnóstico de apendicitis aguda cuando se utilizan de manera aislada, ya sean las alteraciones leucocitarias (leucocitosis 87% o leucopenia 10% de los casos), proteína C reactiva, o marcadores nuevos como lactoferrina, calprotectina, d-lactato, etc. (Thuijls, 2011. Athie, 2008. Lameris, 2009. Filiz, 2010)

Esto ha dado lugar a numerosas investigaciones para identificar hallazgos clínicos, de laboratorio y radiológicos con mayor certeza diagnóstica para AA, y el desarrollo de sistemas de puntuación clínica para guiar al médico a hacer el diagnóstico correcto, con el fin de reducir el retraso en el diagnóstico y la disminución de las tasas de apendicectomías negativas.

 

Escalas de diagnostico

De las escalas clínicas para diagnóstico de apendicitis las más conocidas son: La de Alvarado, Solís- Mena, Teicher, Ramírez Y Lilndberg, la de RIPASA y más recientemente la de Hernández-Orduña.

La escala clínica propuesta por Dr. Alfredo Alvarado en 1986, ha demostrado su utilidad como herramienta de etapificación para el manejo y tratamiento de pacientes con apendicitis aguda. En la que incluyó los síntomas y signos más frecuentes encontrados en los pacientes con sospecha de apendicitis aguda. Consideró ocho características principales extraídas del cuadro clínico de apendicitis aguda y agrupadas bajo la nemotecnia MANTRELS, por sus siglas en inglés, de aquellos síntomas y signos considerados importantes en la enfermedad, éstos son: migración del dolor (a cuadrante inferior derecho), anorexia y/o cetonuria, náuseas y/o vómitos, sensibilidad en cuadrante inferior derecho (del inglés tenderness), rebote, elevación de la temperatura, leucocitosis, desviación a la izquierda de neutrófilos (del inglés shift to the left).

      

Tabla escala de Alvarado  de diagnóstico para la apendicitis aguda.

Parámetro

Observaciones

Puntaje

Signos

Migración del dolor

Anorexia y/o cuerpos cetónicos urinarios

Nausea y vomito

1

1

1   

Síntomas

Dolor en FID        

Dolor de rebote  

Elevación             de           la temperatura

2

1

1

Laboratorio      

Leucocitosis (+10 000)      

  Desplazamiento hacia la izquierda (neutrófilos > 75%)

2

1

 

La escala de Alvarado puede ser utilizada como método de TRIAGE en pacientes en los que se sospecha apendicitis aguda. Le asignó un punto a cada característica encontrada, exceptuando sensibilidad en cuadrante inferior derecho y leucocitosis a las que les asignó 2 puntos para cada uno totalizando 10 puntos y en base al puntaje obtenido determinó tres conductas médicas a seguir, éstas son:

Un punto de corte para “descartar la enfermedad” de 5 representa una sensibilidad del 94% y una especificidad del 99%. Un puntaje mayor a 7 como “estrategia única” para decidir que paciente requiere cirugía muestra una sensibilidad del 88% en mujeres, 86% en mujeres y 87% en niños y una especificidad del 57% para hombres, 73% para mujeres y 76% en niños. (GPC 2012) Con 5 y 6 puntos el paciente cursa con una probable apendicitis y se requerirá de valoraciones seriadas tanto clínica como de laboratorio, así como de algunos estudios por imágenes (US, TAC). Si el puntaje es de 1 a 4 existe una muy baja probabilidad de apendicitis ya que muy raros casos se han presentado con menos de 4 puntos.

 

Escala de Alvarado Modificada

La escala original de Alvarado describe un total posible de 10 puntos, pero en las instalaciones médicas donde no se puede realizar un recuento diferencial de leucocitos, se utiliza la escala de Alvarado Modificada  con un total de 9 puntos, que podría ser no tan exacta como la escala original. El inconveniente del score diagnóstico de Alvarado es que requiere resultados de un laboratorio de calidad (hemograma), para alcanzar un diagnóstico certero de apendicitis aguda. Este procedimiento puede significar un tiempo adicional de demora que oscila entre 1 a 4 horas en hospitales de alta complejidad debido a la gran demanda de pacientes. Posteriormente, al paciente le solicitan exámenes prequirúrgicos, que retardan más la intervención quirúrgica, pudiendo esto conducir a un mayor riesgo de complicaciones. Es necesario enfatizar que aun cuando el hemograma es informado como normal, el cirujano muchas veces decide la intervención quirúrgica, guiado únicamente por la clínica florida que presenta el paciente, obteniéndose buena correlación entre la sospecha diagnostica y los hallazgos operatorios.

Frente a esta situación, se planteó la posibilidad de probar un score diagnóstico de apendicitis aguda basado exclusivamente en criterios clínicos, que facilite el diagnóstico oportuno en el momento de la admisión a emergencia y evitar complicaciones posteriores.

La idea de la utilización de un score diagnóstico frente a una determinada patología no es nueva, existen autores que han elaborado scores de diversas patologías quirúrgicas, incluyendo la apendicitis aguda. El alto valor diagnóstico de la puntuación se ha confirmado en una serie de estudios en todo el mundo. El consenso es que la puntuación Alvarado es un método no invasivo, seguro, de diagnóstico, que es simple, fiable y repetible, y capaz de guiar al clínico en el manejo del caso. Sin embargo, un estudio reciente demostró una sensibilidad de sólo el 72% de la puntuación de Alvarado para la detección de apendicitis que ha llevado a la crítica de la utilidad de la puntuación. La escala en niños menores de cinco años es útil para la eliminación de la apendicitis desde el diagnóstico diferencial. (Florence, 2008)

En 1986 Alvarado publicó el clásico score que lleva su epónimo para el diagnóstico de apendicitis aguda donde se hizo un estudio retrospectivo de 305 pacientes hospitalizados con dolor abdominal sugestivo de apendicitis aguda. Signos, síntomas y hallazgos de laboratorio fueron analizados para determinar la sensibilidad, especificidad y valor predictivo. Ocho factores predictivos resultaron útiles para el diagnóstico de apendicitis aguda (hipersensibilidad localizada en el cuadrante inferior derecho, leucocitosis, desviación a la izquierda, migración del dolor, elevación de la temperatura, náuseas y vómitos, anorexia, y dolor de rebote). (Alvarado, 1986)

En un estudio realizado en el Hospital de Ovalle en Chile el año 2004 (Marcelo, 2006) se modificó el score diagnóstico de Alvarado agregándole 2 variables más (dolor al movimiento y ausencia de dolor similar previo) además de darle sólo 1 punto en el score a la leucocitosis (en el score de Alvarado le dan 2 puntos a la leucocitosis y al dolor en cuadrante inferior derecho y al resto de variables se les asigna 1 punto). En este estudio se estableció que la sensibilidad fue: 87%, la especificidad: 94% y la exactitud diagnóstica: 95%.

En otro estudio realizado en México en el Hospital regional de Salamanca (Marcelo) se determinó la utilidad y eficacia del score de Alvarado, obteniéndose una sensibilidad del 99%, especificidad de 62%, valor predictivo positivo de: 92%, valor predictivo negativo de 93%, cociente de probabilidad positivo de 2,6%, cociente de probabilidad negativo de 0,02% y una exactitud de la prueba de 92%.

Tabla Escala de Alvarado Modificada

Síntomas

Puntaje

Migración del dolor a fosa iliaca derecha

2

Anorexia

1

Náuseas/vómito

1

Hipersensibilidad en fosa iliaca derecha

1

Signos

Rebote en fosa iliaca derecha (Blumberg)

1

Fiebre ≥ 37,3 °C

1

Laboratorio

Leucocitosis > 10.0000

2

Neutrofilia > 70%

1

TOTAL

10

 

 

 

 

 

 

 

 



El uso de la escala de Alvarado modificada permite que los pacientes que consultan al Servicio de Urgencias con dolor abdominal en la fosa iliaca derecha puedan clasificarse en 3 grupos, de acuerdo con la probabilidad de tener apendicitis:

o    Riesgo bajo (0-4 puntos): probabilidad de apendicitis de 7.7%. Observación ambulatoria y con énfasis en los datos de alarma; bajo riesgo de perforación.

o    Riesgo intermedio (5-7 puntos): probabilidad de apendicitis de 57.6%. Hospitalización y solicitar exámenes de laboratorios, estudios de imagen.

· Repitiendo la aplicación de la escala cada hora.

o    Riesgo alto (8-10 puntos): probabilidad de apendicitis de 90.6%. Estos pacientes deben ser sometidos a cirugía de inmediato.

Una tasa de apendicetomías con resultados negativos menor de 15% Una tasa de apéndice perforado menor al 35% de perforación inadvertida menor de 15% Apendicitis aguda inadvertida menor a 5%.

 

RIPASA

La escala RIPASA propuesta en 2010 evalúa otros parámetros como la edad y el tiempo de evolución de la enfermedad. Recientemente en el Hospital General de México, se evaluó la utilidad de esta escala obteniendo sensibilidad del 89.5% y una especificidad del 84.6%. (Reyes-garcía et al., 2012)

De acuerdo con el puntaje se sugiere el manejo:

< 5 puntos (Improbable): observación del paciente y aplicar escala nuevamente en 1-2 h, si disminuye el puntaje, se descarta la patología, si éste aumenta se revalora con el puntaje obtenido.

5-7 puntos (Baja probabilidad): observación en urgencias y repetir escala en 1-2 h o bien realizar un ultrasonido abdominal. Permanecer en observación.

7.5-11.5 puntos (Alta probabilidad de apendicitis aguda): valoración por el cirujano y preparar al paciente para apendicectomía, si éste decide continuar la observación, se repite en una hora. En caso de ser mujer valorar ultrasonido para descartar patología ginecológica.

> 12 puntos (Diagnóstico de apendicitis): valoración por el cirujano para tratamiento o bien referirlo de ser necesario.

El objetivo del estudio fue valorar si estos resultados se pueden reproducir en nuestro país, ya que esto incrementaría la certeza diagnóstica de AA, con la consecuente reducción en la morbimortalidad y el consecuente beneficio en la población afectada con esta enfermedad. La escala de Alvarado presentó una sensibilidad de 89.5% y especificidad de 69.2%, la RIPASA presentó una sensibilidad de 91.2% y especificidad de 84.6%. Al aplicar las escalas a los pacientes del estudio, encontraron que la escala RIPASA muestra mejor certeza diagnóstica que la escala de Alvarado modificada: si la decisión quirúrgica se hubiera realizado con base en la escala de Alvarado modificada, las apendicectomías negativas se conservarían en 18.3%, y con la RIPASA disminuirían a 15.7%.  Finalmente, concluyeron que la escala RIPASA en comparación con la escala de Alvarado modificada presentó mayor exactitud como prueba diagnóstica en el Hospital General de México, siendo muy confiable para ayudar a tomar una decisión terapéutica oportuna.

Tabla. Escala RIPASA.

Datos

Puntos

Hombre

Mujer

< 39.9 años

> 40 años

Extranjero NRIC1

1

0.5

1

0.5

1

Síntomas

Dolor en fosa iliaca derecha

Náusea/vómito

Dolor migratorio

Anorexia

Síntomas < 48 h

Síntomas > 48 h

 

0.5

1

0.5

1

1

0.5

Signos

Hipersensibilidad en fosa iliaca derecha

Resistencia muscular voluntaria

Rebote

Rovsing

Fiebre > 37° < 39 °C

Laboratorio

Leucocitosis

Examen general de orina negativo

 

1

2

1

2

1

 

1

1

 

 

 

 

 

 

 

 

 

 

 

 

INRIC: Carta de identidad de registro nacional

 

  Se han propuesto  otras   escalas diagnosticas sin embargo  nos estamos alejando de la base, simplificar el diagnostico. Estas escalas  son más complejas  no simplifican el  mismo.  Se debe encontrar  una  más simple con mayor  especifidad y sensibilidad  o continuar con escala de Alvarado.

 

Escala Hernandez-Orduña, 2019

Se han propuesto varias escalas diagnósticas en la AA; sin embargo, nos estamos  alejando de la base, simplificar el diagnóstico y que sea esencialmente clínico. Algunas escalas son complejas y no simplifican el proceso, se debe encontrar una más simple con mayor especificidad y sensibilidad o continuar con la escala de Alvarado. En realidad, esto no es tan complejo, debemos retomar la base de los puntos cardinales de la apendicitis aguda y enfocarlos en el diagnóstico temprano. Se sugiere la siguiente escala integrada con base en los signos y síntomas más representativos de la enfermedad, es decir, lo que motiva al cirujano en la práctica a operar a un paciente de todos los componentes de manifestaciones clínicas y apoyo de laboratorio y gabinete, además basados en los signos y síntomas mencionados por varios autores como los más frecuentes con un valor predictivo positivo arriba del 90%.

Esta escala integra los pilares o puntos cardinales de diagnóstico de la apendicitis aguda, fácil de aplicar, aunque no contemos con laboratorios y gabinete nos da una puntuación adecuada para indicar cirugía temprana en el manejo de la apendicitis aguda evitando no sólo las laparotomías blancas (a nuestro parecer es más grave el retraso en el tratamiento), sino también el diagnóstico tardío que conlleva a fases complicadas y a mayor tasa de morbimortalidad.

Tabla: Escala diagnóstica de apendicitis aguda (Hernández-orduña).

Criterio

Puntaje

Síntomas
Dolor inicial periumbilical o en FID
Migración y/o dolor persistente en FID
Náusea, vómito y/o anorexia

 

1

2

1

Signos
Signos apendiculares positivos (McBurney)
Resistencia muscular en FID
Rebote positivo (Von Blumberg)

 

2

1

1

Laboratorios
Leucocitosis mayor de 10,000 y/o neutrofilia mayor de 70%

 

1

Gabinete
Datos sugestivos radiológicos de irritación peritoneal en FID, USG positivo y/o TAC

 

 

1

Interpretación de escala. De acuerdo con el puntaje se sugiere el manejo: riesgo bajo o negativo de 04 puntos, riesgo medio o de observación de 56 puntos y complementar estudios (TAC, USG). Riesgo alto positivo, más de 6 puntos realizar cirugía temprana. Como se puede observar 8 puntos son clínicos. Fuente: Elaboración por el autor HernándezOrduña, 2018

 

Esta escala diagnóstica nos da una sensibilidad mayor  (90%)  y   valor predictivo positivo del 98%, lo que nos lleva no sólo a una  menor frecuencia de laparotomías blancas, sino, y más importante, a diagnósticos tempranos con alto valor predictivo positivo, lo cual nos da la capacidad de realizar cirugías más tempranas y con menor tasa de morbimortalidad.

En el estudio comparativo (Hernández‑Orduña, 2016–2017, Hospital General de Atizapán):

Sensibilidad: 91  %

Valor predictivo positivo: 98  %

Área bajo la curva ROC: 0.92 (vs. 0.83 de Alvarado y 0.85 de RIPASA)  

Esto indica que la escala tiene gran precisión para identificar casos verdaderos de apendicitis, reduciendo falsas apendicectomías.

✅ Ventajas y recomendaciones

Integra datos clínicos, laboratorio e imagen en una sola herramienta.

Alta sensibilidad y muy alto valor predictivo positivo, óptimo para confirmar el diagnóstico.

Útil en entornos con acceso limitado a imagen, pero permite incorporarla si está disponible.

Se adapta especialmente bien a la población mexicana y latinoamericana.

💡 Uso práctico

1. Aplica la escala al ingreso del paciente.

2. Si puntaje ≥ 7 → activar protocolo de apendicectomía.

3. Si 5–6 → solicitar imagen diagnóstica.

4. Si ≤ 4 → vigilancia o diagnosticar otras causas.


Diagnóstico diferencial.

En esencia el diagnóstico diferencial de la apendicitis aguda es el de “abdomen agudo”. Ello se debe a que las manifestaciones clínicas no son específicas de una afección determinada sino de la alteración de una o varias funciones fisiológicas. En consecuencia, es posible que haya un cuadro clínico prácticamente idéntico por una gran variedad de procesos agudos en la cavidad peritoneal o cerca de ella que producen las mismas alteraciones funcionales que la apendicitis aguda.

La precisión del diagnóstico preoperatorio debe ser de 85%. Si es menor, es probable que se practiquen algunas operaciones innecesarias y procede un diagnóstico diferencial preoperatorio más riguroso. Por otra parte, una precisión siempre mayor de 90% también debe preocupar ya que ello puede indicar que algunos pacientes con apendicitis aguda atípica se dejan en “observación” cuando deberían operarse con rapidez. Sin embargo, el grupo de Haller demostró que no siempre es así. Antes de su estudio la frecuencia de perforaciones en el hospital en que se realizó la investigación fue de 26.7% y se encontró apendicitis aguda en 80% de las operaciones. Con una política de observación intensiva en el hospital cuando el diagnóstico de apendicitis no era claro, la frecuencia de esta afección que se encontró en la intervención aumentó a 94%, en tanto que el índice de perforaciones no se modificó de 27.5 por ciento. (Samperio)

Existen pocos trastornos en que está contraindicada la cirugía, pero en general los procesos patológicos que se confunden con apendicitis también son problemas quirúrgicos o si no es así no empeoran por una operación. El error más común es establecer un diagnóstico preoperatorio de apendicitis aguda y encontrar alguna otra afección (o nada) en la intervención quirúrgica; con mucho menor frecuencia se encuentra apendicitis aguda después del diagnóstico preoperatorio de otro trastorno. Los diagnósticos preoperatorios erróneos más comunes —que corresponden a más de 75%— en orden descendente de frecuencia son linfadenitis mesentérica aguda, ausencia de trastorno patológico orgánico, afección inflamatoria pélvica aguda, torcimiento de un quiste ovárico o rotura de un folículo de Graff y gastroenteritis aguda. Samperio

Se dice que una tasa de apendicectomía falso-negativa del 15 al 20% todavía es una "buena práctica quirúrgica". En las mujeres se consideran aceptables tasas falso-negativas todavía más elevadas. La extirpación de un apéndice normal debido a un dolor inexplicable en el CID del abdomen algunas veces es más apropiada que la política de esperar y ver, que podría dar como resultado una apendicitis perforada. La situación clínica habitual consiste en efectuar un diagnóstico preoperatorio de apendicitis aguda y hallar un problema diferente, a menudo también de naturaleza quirúrgica, o no hallar explicación alguna de la presentación.

Es útil la consideración de otras causas de dolor en el CID y su sutil diferenciación de una apendicitis. La apendicitis puede parecerse a casi cualquier enfermedad de la cavidad abdominal, así como a aquellos problemas extraperitoneales que producen síntomas abdominales. La familiaridad con las siguientes entidades patológicas dirige al médico durante el interrogatorio y el examen físico.

El diagnóstico diferencial de apendicitis depende de tres factores principales: localización anatómica del apéndice inflamado, etapa del proceso —simple o roto— y edad y sexo del enfermo.  A continuación, se indican los más comunes.

 

Tabla  Principales diagnósticos diferenciales de la apendicitis aguda.

Ginecológicos
(exploración física, β-hCG, ecografía) 

Salpingitis
Otros no infecciosos (embarazo extrauterino, torsión de anexo, quiste complicado, ovulación dolorosa) 

Urinarios
(tira reactiva urinaria, ECBO, ecografía) 

Pielonefritis aguda derecha
Cólico nefrítico 

Digestivos 

Linfadenitis mesentérica (rinofaringitis, fiebre elevada, ecografía, vigilancia)
Gastroenteritis (en caso de dolores predominantes, con poca diarrea; ecografía)
Infarto del epiplón, apendalgitis o torsión del epiplón (sin fiebre, ecografía o TC)
Inflamación del divertículo de Meckel (ecografía, o TC, o exploración quirúrgica sistemática en ausencia de apendicitis)
Diverticulitis del ciego o del colon derecho o incluso sigmoidea (TC)
Enfermedad de Crohn (antigüedad de los síntomas, diarrea, signos sistémicos, ecografía o TC), ileítis, colitis agudas de causas diversas.
Cáncer infectado del colon derecho (edad, alteraciones previas del tránsito, anemia, TC)
En caso de peritonitis, todas las causas de peritonitis. 

Leyenda: hCG: gonadotropina coriónica humana; ECBO: estudio cito bacteriológico de la orina; TC: tomografía computarizada.

 

Enfermedades  de sistema digestivo.

La patología que más se confunde  en los niños es la adenitis mesentérica.

 

Dolor abdominal inespecífico.

Es el proceso con el que más frecuentemente se debe hacer el diagnóstico diferencial.

Se presenta sobre todo en los niños y en los jóvenes, en los cuales la incidencia de apendicitis aguda es máxima. En muchos casos son indistinguibles y la única forma de establecer el diagnóstico es la laparotomía. Una mejoría del dolor en el curso de una observación por sospecha de apendicitis aguda debe hacer pensar en este proceso.

 

Linfadenitis mesentérica.

La expresión adenitis mesentérica implica que los ganglios linfáticos mesentéricos inflamados y aumentados de tamaño, en especial en la región del íleon terminal, constituyen el origen del dolor y los signos y los síntomas clínicos. Es discutible si ésta es una entidad clínica diferente o representa el espectro de otro proceso patológico. Por lo común, cuando el apéndice es normal y no puede descubrirse otro origen del dolor en el CID se habla de una adenitis mesentérica.

Suele haber antecedentes de infección de las vías respiratorias altas, fiebre superior a la que se presenta en la apendicitis, antecedentes de cuadros similares; son útiles el signo de Klein positivo y la linfocitosis, que aparecen con frecuencia. Puede haber adenopatía generalizada. Los vómitos no son notables, la fiebre puede ser desproporcionadamente alta en relación con los hallazgos. El dolor de la adenitis mesentérica inicia en cuadrante inferior derecho. La hipersensibilidad a la palpación puede no estar bien localizada.

Algunas veces se desarrolla una linfocitosis relativa en el recuento diferencial de linfocitos y es probable que represente un "síndrome viral"; por otra parte, el recuento de leucocitos simula el de una apendicitis. Los procedimientos de laboratorio son poco útiles para la diferenciación, aunque una linfocitosis relativa, cuando existe, sugiere adenitis mesentérica. Si este último diagnóstico parece probable resulta adecuado observar varias horas para permitir que se aclare el cuadro clínico, ya que esta afección cura espontáneamente; no obstante, si hay alguna duda acerca de la diferenciación, la única conducta segura es la intervención quirúrgica inmediata. El diagnóstico en general es de exclusión y se establece en el quirófano cuando se halla un apéndice normal.

 

Gastritis

No  existe migración del dolor.  Antecedentes de cuadros previos característicos.

 

Ulcera Perforada

Esta afección simula bastante una apendicitis si el contenido gastroduodenal que ha escapado desciende por la escotadura derecha hasta el área cecal, la perforación sella espontáneamente muy pronto y reduce al mínimo las alteraciones en abdomen alto. Se presenta con un dolor agudo severo, la peritonitis y  el abdomen en tabla ocurren en forma temprana. Radiológicamente   presencia de aire libre subdiafragmático.

 

Hepatitis Viral

Puede asociarse con dolor abdominal, náuseas y anorexia. Sin embargo, como regla, el dolor no se localiza en cuadrante inferior derecho. Una vez que se manifiesta la ictericia la confusión se aclara.

 

Colecistitis aguda

La colecistitis aguda puede simular una apendicitis, dado que ambos trastornos se acompañan de dolor en el lado derecho, fiebre y vómitos. En general no hay antecedentes de anorexia porque el episodio de colecistitis por lo común es precipitado por una comida. La vesícula inflamada con frecuencia descenderá hasta la parte media o inferior derecha del abdomen y se volverá palpable, a menos que el paciente sea obeso. No antecedente de anorexia, la vesícula inflamada y Murphy positivo.

 

Enfermedad de Crohn.

Sobre todo, en el primer brote de la enfermedad de Crohn, ésta puede ser indistinguible de la apendicitis. En otros casos, los antecedentes de brotes anteriores o de despeño diarreico reciente nos harán pensar en este proceso.  A menudo las manifestaciones de enteritis regional aguda—fiebre, dolor e hipersensibilidad en cuadrante inferior derecho y leucocitosis— simulan apendicitis aguda. La diarrea y la infrecuencia de anorexia, náuseas y vómitos apoyan el diagnóstico de enteritis, pero no son suficientes para excluir la apendicitis aguda sin una celiotomía. En un porcentaje apreciable de pacientes con enteritis regional crónica se ha establecido por primera vez el diagnóstico durante una operación por posible apendicitis aguda. La ileítis aguda debe diferenciarse de la enfermedad de Crohn. Cuando se encuentra un íleon distal con inflamación aguda sin afección cecal y con apéndice normal, está indicada una apendectomía. Rara vez progresa a ileítis de Crohn.

 

Infección por Yersinia enterocolitica.

La infección por Yersinia enterocolítica o Y. pseudotuberculosis puede ser implicada en forma ocasional como la causa de un dolor abdominal que simula una apendicitis. La fisiopatología se relaciona con la ingestión del microorganismo en alimentos contaminados. Se ha comunicado que el patógeno se une en forma preferencial a la mucosa en la región del íleon terminal. De hecho, ésta puede ser la causa no reconocida de la "adenitis mesentérica". La fiebre y el dolor abdominal pueden ser más prominentes que la diarrea, si bien muchos pacientes infectados por Yersinia permanecen asintomáticos. Una diversidad de otros síndromes clínicos ha sido atribuida a Yersinia, como la ileítis, la colitis y la artritis aguda. El eritema nudoso, la uveítis o la artritis pueden ser complicaciones posinfecciosas en un alto porcentaje de los pacientes. En el 10% de los casos Yersinia puede ser realmente el agente causal de una apendicitis aguda o puede representar un epifenómeno. Por lo tanto, la capacidad para diferenciar la infección por Yersinia de una apendicitis aguda puede no ser clínicamente factible o importante. Nyhus

Campylobacter jejuni causa diarrea y dolor que simula al de la apendicitis. Es posible cultivar el microorganismo de las heces.

Gastroenteritis Viral o Bacteriana

En general se asocia con una diarrea profusa. Tienden a estar más afectados sistémicamente con fiebre y escalofríos.  Los ruidos intestinales son hiperactivos, y el dolor difuso.

Gastroenteritis aguda. Es muy común en la niñez, pero suele ser fácil diferenciarla de la apendicitis. La gastroenteritis viral, una infección aguda de causas variables que cura sola, se caracteriza por diarrea acuosa profusa, náuseas y vómitos. Las heces acuosas van precedidas de cólicos abdominales hiperperistálticos; el abdomen se relaja entre los mismos y no existen signos de localización. Los valores de laboratorio son normales.

La gastroenteritis por salmonelas se debe a la ingestión de alimento contaminado. Los datos abdominales suelen ser similares a los de la gastroenteritis viral, pero en algunos el dolor del abdomen es intenso, localizado y con hipersensibilidad de rebote. Es común que haya escalofrío y fiebre. La cuenta de leucocitos suele ser normal. Prácticamente en 100% de los pacientes es posible cultivar los microorganismos causales, pero quizá tome mucho tiempo como para ayudar al clínico en el diagnóstico diferencial del dolor abdominal. Ataques similares en otras personas que ingirieron el mismo alimento que el enfermo apoyan firmemente el diagnóstico presuncional de gastroenteritis por salmonelas.

Hoy en día la fiebre tifoidea es una enfermedad muy poco común y ello tal vez explica la frecuencia de diagnósticos que se pasan por alto —rara vez se observa y muy pocas veces se piensa en ella—. El inicio es menos agudo que en la apendicitis, con un pródromo de varios días. Suele ser posible diferenciarla por la postración, el exantema maculopapular, bradicardia y leucopenia. El diagnóstico se confirma por el cultivo de Salmonella typhosa de heces o sangre. En casi 1% de los pacientes hay perforación intestinal, por lo general en íleon bajo y requiere tratamiento quirúrgico inmediato.

 

Colitis neutropénica

La colitis neutropénica es un proceso necrotizante fulminante del íleon terminal, el ciego o el colon ascendente, que ocurre en pacientes inmuno- comprometidos, en especial en aquellos neutropénicos por la quimioterapia. El dolor abdominal localizado cerca del punto de McBurney, la distensión abdominal, la diarrea y la fiebre son aspectos prominentes. La enfermedad progresa hacia la sepsis en forma notable y rápida si no se trata. La mortalidad quirúrgica se aproxima al 50%. Las radiografías simples de abdomen en ocasiones revelan neumatosis del colon derecho, pero el diagnóstico se basa en los hallazgos clínicos en el paciente neutropénico.

 

Diverticulitis De Meckel

Esta afección origina un cuadro clínico muy similar al de apendicitis aguda. La diferenciación preoperatoria es académica e innecesaria ya que la diverticulitis de Meckel se debe a las mismas complicaciones que la apendicitis y requiere el mismo tratamiento: intervención quirúrgica inmediata. Casi siempre es posible hacer una diverticulotomía a través de la incisión de McBurney, que se extiende si es necesario. Si la base del divertículo es ancha, de manera que la extirpación puede comprometer la luz del íleon, se reseca el segmento ileal que lo contiene y se hace una anastomosis termino terminal. Esta entidad causa signos y síntomas similares  a la apendicitis aguda. Cuando se encuentra en la cirugía un apéndice normal, se debe buscar en los 100 cm dístales de íleon en búsqueda de divertículo de Meckel.

 

Enfermedad diverticular del colon

Un colon izquierdo redundante con diverticulitis ubicado en el CID puede ser difícil de distinguir de una apendicitis. La diverticulitis del sigmoide f ha sido denominada "apendicitis izquierda" dado que los síntomas que provoca pueden parecerse mucho a los de una apendicitis. Un divertículo cecal perforado puede ser difícil de diferenciar, si no imposible. La incidencia pico de la enfermedad ocurre en un grupo etario mayor, pero se descubre que muchas personas más jóvenes tienen una diverticulitis perforada, lo cual genera confusión. Es posible que se detecten cambios del hábito evacuatorio, sangre oculta en materia fecal o una masa palpable. La diarrea es más común en asociación con la diverticulitis que con la apendicitis. La leucocitosis tiende a ser más elevada que en la apendicitis.

 

Carcinoma localizado en el colon ascendente o el sigmoide

Un carcinoma perforado u obstructivo localizado en el colon ascendente o el sigmoide redundante puede simular el dolor de la apendicitis. La población de pacientes tiende a ser de más edad y, como en el caso de la diverticulitis, puede haber cambios del hábito evacuatorio. Es posible que haya habido pérdida de peso. Puede detectarse sangre oculta en materia fecal o una anemia hipocrómica y estos hallazgos deben aumentar las sospechas. El examen físico puede revelar la presencia de una masa. En la población de edad avanzada puede ser necesario un enema balitado con baja presión antes de la laparotomía para excluir estas posibilidades.

 

 

 

Intususcepción

En contraste con la diverticulitis de Meckel, es muy importante diferenciar la invaginación de la apendicitis aguda porque el tratamiento puede ser muy diferente. La edad del paciente es esencial: la apendicitis es muy rara antes de los dos años, en tanto que casi todas las invaginaciones idiopáticas ocurren en menores de esta edad. De manera característica esta afección se presenta en un lactante bien nutrido que se dobla súbitamente por dolor tipo cólico aparente. Entre los ataques de dolor el lactante puede parecer bastante bien. Después de varias horas suele eliminar heces mucoides sanguinolentas. En el cuadrante inferior derecho puede palparse una masa en forma de salchicha. Más adelante, conforme la invaginación prosigue en sentido distal, esta área se siente anormalmente vacía. El tratamiento de elección en la invaginación, si se observa antes que se presente peritonitis, es la reducción mediante enema de bario. El tratamiento de la apendicitis aguda con este procedimiento podría ser catastrófico.

El niño típicamente tiene menos de 2 años, Episodios de dolor que se manifiestan como cólicos intensos, irritabilidad, vómitos y flexión de las piernas contra el abdomen. Radiológicamente con un patrón obstructivo. Las heces con la coloración característica de frambuesa A la palpación en cuadrante inferior derecho como una salchicha indurada.

 

Torsión De Un apéndice Epiploico

La inflamación de estas estructuras se debe tal vez a infarto secundario a torsión. Es posible que los síntomas sean mínimos o se presente dolor constante en el abdomen durante varios días en un área que corresponde al contorno del colon. El dolor rara vez cambia y no existe una secuencia diagnóstica de síntomas. El paciente no se ve enfermo, en muy pocas ocasiones hay náuseas y vómitos y, a diferencia de la apendicitis, el apetito no suele afectarse. Es usual que haya hipersensibilidad localizada en el sitio y con frecuencia de rebote, intensa, pero sin rigidez. En 25% de los casos publicados el dolor persistió o recurrió hasta que se extirparon los apéndices epiploicos infartados. Los antecedentes tienden a ser atípicos. El paciente tiene un aspecto menos crítico. La desviación del patrón del dolor es inusual, el hemograma es normal. Sin embargo, la intervención puede ser inevitable si los síntomas no remiten.

 

Perforación por cuerpo extraño

Si bien la mayoría de los cuerpos extraños ingeridos son eliminados en forma espontánea, puede producirse la perforación del tracto gastrointestinal. Ciertos objetos filosos, como por ejemplo espinas de pescado, huesos de pollo o escarbadientes, pueden ser ingeridos por niños pequeños, sujetos alcohólicos o pacientes psiquiátricos o, más habitualmente, por personas desdentadas con sensibilidad oral disminuida. Sin embargo, el antecedente de la ingestión de un objeto punzante en general está ausente, lo cual dificulta el diagnóstico. La región ileocecal es el sitio más común de perforación. Es posible que se desarrolle una peritonitis aguda, que evidentemente requerirá cirugía, o que haya síntomas obstructivos vagos durante el curso de varios días o semanas. En los casos típicos el pequeño agujero se sella y se forma un flemón o un absceso cerca de la perforación. El paciente puede sentirse razonablemente bien excepto por algo de fiebre, dolor abdominal localizado y una masa. La laparotomía puede revelar el problema inflamatorio resultante, pero a menudo la causa exacta de la perforación continúa siendo un enigma.

 

Enfermedades urológicas

Infección Urinaria.

La pielonefritis derecha puede simular una apendicitis aguda Retrocecal. El paciente tiene fiebre alta, escalofríos, temblores y un análisis de orina anormal con bacteriuria. La cistitis en general se manifiesta con disuria, polaquiuria, sin escalofríos ni temblores. La presencia de escalofrío, hipersensibilidad en el ángulo costovertebral derecho, células de pus y en particular bacterias en orina suelen bastar para diferenciar ambos procesos.

 

Calculo Ureteral

Puede haber antecedentes de cálculos. La mayoría de los pacientes tiene hematuria, el dolor puede irradiar hacia el testículo homolateral o la vulva. También presentan Polaquiuria. El dolor sumamente severo y se asocia con vómitos profusos.

Cálculo ureteral. Si el cálculo se aloja cerca del apéndice puede simular apendicitis retrocecal. El dolor referido a los labios, el escroto o el pene, la presencia de hematuria o la ausencia de fiebre o leucocitosis sugieren un cálculo. Una pielografía suele confirmar el diagnóstico.

 

Absceso perinéfrico

Los pacientes en general evolucionan de manera más insidiosa, con fiebre alta y temblores, lo cual no es común en la apendicitis aguda. Debido al predominio de un dolor marcado y una pronunciada hipersensibilidad a la palpación del ángulo costovertebral, la confusión con una apendicitis retro- cecal es comprensible. Un absceso perinéfrico a menudo puede producir un íleo reflejo con vómitos y los hallazgos asociados en una radiografía simple. Globalmente estos pacientes tienen un aspecto mucho más crítico desde el punto de vista sistémico. Los pródromos asociados con la apendicitis están ausentes.

 

Epididimitis

El hemiescroto en general es muy sensible y puede palparse  fácilmente el  epidídimo inflamado.

 

Vesiculitis Seminal.

La vesiculitis seminal puede producir dolor abdominal bajo difuso, pero, típicamente, sin localización. Pueden observarse náuseas, vómitos, fiebre alta y escalofríos. El tacto rectal revela hipersensibilidad marcada en el área de la próstata.

 

Torsión testicular

La torsión testicular provoca un dolor severo similar al del cólico renal. A menudo hay vómitos. Cuando se pasa por alto este diagnóstico en general se debe a la omisión del examen testicular. La contusión o un tumor testicular pueden presentarse con aparente dolor en el CID, pero el examen físico debe identificar rápidamente la causa real.

 

Enfermedades ginecológicas.

 El índice de errores en el diagnóstico de apendicitis aguda es más elevado en mujeres adultas jóvenes. Se ha señalado una frecuencia de apendicitis negativas de 32 a 45% en mujeres entre los 15 a 45 años. Las enfermedades de los órganos internos de la reproducción femeninos que pueden diagnosticarse erróneamente como apendicitis son las siguientes, en orden descendente de frecuencia aproximado: enfermedad pélvica inflamatoria, rotura del folículo de Graaf, quiste o tumor ovárico torcido, endometriosis y embarazo ectópico roto.

 

Enfermedad Inflamatoria Pélvica

 La infección suele ser bilateral, pero si está limitada a la trompa derecha puede simular apendicitis aguda. En esta última casi siempre hay náuseas y vómitos, pero sólo se encuentran en una mitad de pacientes con enfermedad pélvica inflamatoria. El mayor valor de estos síntomas es su ausencia. El dolor y la hipersensibilidad suelen ser más bajos y el movimiento del cuello uterino causa dolor exquisito. Es posible comprobar diplococos intracelulares en el frotis de exudado vaginal purulento. La relación entre apendicitis y afección pélvica inflamatoria es baja en la primera parte del ciclo menstrual y alta durante la fase lútea. La frecuencia de laparotomías negativas en mujeres jóvenes se ha reducido a 15% utilizando las diferencias mencionadas. (Brunicardi, 2009)

 

Quiste del cuerpo lúteo o folicular roto.

Puede ser difícil diferenciar un quiste folicular roto de un quiste del cuerpo lúteo roto. El dolor de la ovulación causado por un quiste folicular puede ser bastante similar al de la apendicitis aguda. Puede haber hemorragia asociada con la ovulación y, si es lo suficientemente severa, irritará el diafragma y producirá dolor referido al hombro (signo de Kehr). La aparición del dolor aproximadamente en la mitad del ciclo menstrual debe contribuir al diagnóstico y durante 12 a 16 horas de observación la mayoría de las pacientes mejorarán. El dolor en general comienza en forma aguda en el CID en lugar de mostrar la lenta progresión asociada con la apendicitis. Éste es un punto diferencial importante. Las pacientes típicamente son menores de 25 años y pueden tener antecedentes de ovulación dolorosa. El dolor de la ruptura de un quiste del cuerpo lúteo ocurre cerca del comienzo de la menstruación. El recuento de leucocitos típicamente es normal o está apenas elevado y en general no hay desviación del recuento diferencial. No hay leucocitosis ni fiebre o son mínimas. Como este dolor ocurre a la mitad del ciclo menstrual suele llamarse Mittelschmerz.

 

Embarazo Ectópico.

 La determinación del diagnóstico de un embarazo ectópico continúa siendo un desafío. Más del 80% de estos embarazos ocurren en una trompa de Falopio. Los antecedentes de embarazo ectópico constituyen un factor de riesgo importante, como lo son una infección pelviana, un aborto inducido, el uso de un dispositivo intrauterino, la endometriosis y la esterilización tubárica. El dolor pelviano o abdominal es la molestia principal en más del 90% de las pacientes. Se produce una hemorragia uterina anormal en el 50 al 80% de los casos, pero el shock clínico es raro. Puede haber amenorrea o no, pero es importante observar su presencia. El examen físico puede revelar sobre todo hipersensibilidad a la palpación de los anexos y una masa. La ecografía transvaginal de alta resolución puede mostrar un saco gestacional extrauterino; sin embargo, los hallazgos tienden a ser inespecíficos. El radioinmunoensayo de la subunidad beta de la HCG es positivo en más del 95% de las pacientes. Este análisis sensible se toma positivo 9 a 10 días después de la ovulación si ocurre un embarazo. Es posible que se requiera una laparoscopia diagnóstica para establecer el diagnóstico de embarazo ectópico.

 

Torsión De Anexos

La torsión de los anexos más a menudo involucra al ovario y a la mitad distal de la trompa de Falopio. Se trata de un ovario enfermo o quístico que en general da como resultado una torsión. El dolor y los vómitos son simultáneos y tienden a ser peores que en la apendicitis. El dolor en general es severo, agudo y localizado desde un principio. El examen pelviano bimanual revela una hipersensibilidad mayor que la prevista con la apendicitis. El examen abdominal es notable por el dolor a la descompresión. La torsión puede determinar el compromiso de la irrigación del lado afectado, con infarto y gangrena resultantes.

 

Miomas Pedunculados

Los miomas pedunculados tienen tendencia a rotar sobre el pedículo y causar dolor. Esto es difícil de diferenciar de una apendicitis si ocurre del lado derecho. La severidad del dolor es similar a la de la torsión tubo ovárica. Las pacientes se sienten más incómodas en una fase más temprana de la evolución de su enfermedad y no se hallan los pródromos de la apendicitis.

 

Endometriosis

La dismenorrea causada por la endometriosis puede inducir dolor e hipersensibilidad localizados. Esto puede presentarse con hallazgos físicos idénticos a los de la apendicitis y, de hecho, se ha informado que la endometriosis compromete el apéndice; sin embargo, este fenómeno es raro y en general asintomático. A menos que la paciente tenga antecedentes de endometriosis o dolor cíclico, el diagnostico puede ser difícil sin cirugía.

 

Enfermedades respiratorias

Una neumonía lobular en un niño por lo común se presentará con fiebre y dolor abdominal, por lo cual es esencial obtener radiografía de tórax en todo paciente con sospecha de apendicitis aguda. Puede haber hallazgos auscultatorios en campos pulmonares y además la presencia de tos flemosa, nos da la pauta para la diferencia de apendicitis aguda.

 

Enfermedades vasculares

Aneurisma De La Aorta Roto

La ruptura de un aneurisma de aorta abdominal puede producir dolor en la parte media baja del abdomen, en la espalda y en las caderas. El dolor suele ser severo y al comienzo súbito y puede haber shock asociado. Se palpará una masa pulsátil cerca del ombligo si el paciente no es obeso. Por otra parte, el abdomen puede revelar una hipersensibilidad leve difusa o una peritonitis por la sangre irritante. Los pulsos femorales pueden estar disminuidos. Si la ruptura es contenida y el paciente es obeso, el diagnóstico puede resultar difícil. A menudo hay antecedentes de una enfermedad vascular y predominio masculino. Las radiografías simples de abdomen {meden revelar una pared aórtica calcificada y expandida desplazada hacia a izquierda, con pérdida de la sombra del psoas.

 

Hematoma o Ruptura De La Vaina De Los Rectos

Esta enfermedad ocurre   luego de un esfuerzo, o puede presentarse en pacientes con ingesta de anticoagulantes.

 

Púrpura de Henoch-Schónlein.

Este síndrome suele ocurrir dos a tres semanas después de una infección estreptocócica. Es posible que el dolor abdominal sea intenso, pero casi siempre también se presentan dolores articulares, púrpura y nefritis.

 

Otras enfermedades

Absceso del psoas

Un absceso del psoas puede causar irritación del músculo psoas ilíaco y producir hallazgos idénticos a los de un apéndice perforado retrocecal. El absceso del psoas en general es secundario a algún otro proceso, uno de los cuales puede ser una apendicitis.

 

Simulación

El paciente que finge suele describir un dolor abdominal recurrente vago o incluso localizado. Los síntomas tienden a ser crónicos y recurrentes. Estos pacientes en general saben bastante de enfermedades clínicas y quirúrgicas y utilizan la jerga apropiada por haber leído acerca de su ' enfermedad". Si los antecedentes y los hallazgos son atípicos, está indicada una mayor evaluación. Las maniobras sutiles para provocar la verdadera hiper- sensibilidad en el CID (como el uso del estetoscopio palpatorio, ya mencionado) puede dejar al descubierto al simulador. De manera alternativa, debe darse al paciente el beneficio de la duda y es probable que la sensibilidad no explicada en el CID lleve a una intervención. El dolor abdominal recurrente en un niño puede ser un problema fastidioso y en ausencia de hallazgos objetivos o análisis de laboratorio es apropiada la búsqueda de un problema social.

 

Apendicitis crónica

Nadie puede negar que los pacientes pueden sufrir ataques recidivantes de apendicitis. En realidad, no es inusual que uno o más de esos episodios precedan a una apendicitis aguda florida. La apendicitis crónica o “protestona” como entidad clínica es todavía tema de controversias. En la actualidad hay más escépticos que creyentes. Se ha dicho apropiadamente que “el apéndice no protesta: o grita o permanece silencioso”.

No obstante, datos clínicos recientes comprueban la existencia de esta enfermedad poco común. Se han establecido criterios histológicos. De manera característica, el dolor dura más tiempo y es menos intenso que en la apendicitis aguda, pero se localiza en el mismo sitio. Existe una incidencia mucho más baja de vómito, pero son típicos la anorexia y algunas veces la náusea, dolor con el movimiento y malestar. Las cifras de leucocitos son normales y los estudios de CT casi nunca son diagnósticos.

En la operación, los cirujanos pueden establecer el diagnóstico con 94% de especificidad y 78% de sensibilidad. Existe una excelente correlación entre los síntomas clínicos, los hallazgos intraoperatorios y las anormalidades histológicas. En el tratamiento de esta entidad clínica es posible utilizar con seguridad laparoscopia. La apendicectomía cura el proceso. Los síntomas se resuelven en el posoperatorio en 82 a 93% de los individuos. En muchos de ellos, cuyos síntomas no desaparecen o recurren, se diagnostica al final enfermedad de Crohn.

Alguna vez estuvo de moda atribuir muchos de los cuadros psicosomáticos que afectan al abdomen entre los cuales el síndrome de intestino irritable es el más frecuente a la apendicitis crónica y extirpar el órgano agresor. Sin embargo, los resultados no son del todo buenos. Un interesante estudio realizado por Ingram y Evans revisó a 118 mujeres jóvenes que habían sido sometidas a apendicectomía un año antes. De las tratadas por apendicitis aguda, el 90% se encontraba perfectamente bien y satisfechas en la revisación, pero el 55% de las pacientes cuyo apéndice era normal en la operación todavía experimentaba síntomas en el momento del control.

 

 Complicaciones

   El porcentaje de complicaciones aumenta de acuerdo con el tipo de apendicitis aguda, el grado de evolución de esta y la edad del paciente.

Rotura apendicular. Aunque en algunos pacientes con apendicitis aguda el proceso agudo remite de manera espontánea, no hay un medio para predecir en quiénes ocurrirá. La única acción segura en una apendicitis aguda no complicada es una apendectomía inmediata. Idealmente sería necesario extirpar en todos los pacientes el órgano afectado antes que se presentaran complicaciones, en particular su rotura. Se han logrado ciertos adelantos, pero aún se observan muchos enfermos después de que ha ocurrido y algunos médicos todavía tienen indecisiones innecesarias. La antibioticoterapia como intento para evitar o posponer la cirugía, en la que no se considera la obstrucción como causa de la apendicitis, es peligrosa y no se aconseja. La perforada o gangrenadas, consideradas como heridas contaminadas o sépticas aumentan el índice de infecciones de la herida operatoria hasta el 60% y la posibilidad de abscesos intraabdominales. La rotura de una apendicitis gangrenosa va seguida con mayor frecuencia de peritonitis difusa y abscesos intraabdominales distantes que en adultos. El proceso de tabicamiento es menos eficaz porque el epiplón mayor es pequeño y no se ha desarrollado por completo y, como se comentó, es posible que el intervalo entre el inicio y la rotura sea corto. Gilbert y cois, revisaron a 651 niños que se sometieron a apendectomía por apendicitis aguda. La frecuencia de perforación fue de 36.5% sin mortalidad y un índice de complicaciones mayores de 3%. La frecuencia baja de complicaciones se atribuyó a los regímenes de antibióticos eficaces contra microorganismos aerobios y anaerobios y la irrigación amplia de la cavidad peritoneal en pacientes con perforación. En casi todos se cerraron las heridas en forma primaria; hubo 22 infecciones de heridas.

Otra complicación es la fístula cecal, poco frecuente, sin embargo, debe ser tratada como todas las fístulas de intestino de acuerdo con los criterios de Sheldon. La mortalidad es de 15% en ancianos cuando ya está perforada y en pacientes no ancianos la tasa va de 0.1 a 3%.

Complicaciones de apendicitis aguda

Peritonitis

Abscesos periapendiculares localizados

Abscesos hepáticos

Sepsis grave de origen abdominal.

Choque séptico

Muerte

 

 

 

 

 

 




Tasa de mortalidad

El efecto espectacular de los antibióticos sobre la tasa de mortalidad producida por la sepsis está bien ilustrado en las estadísticas relacionadas con la apendicitis. Hasta 1938 se registraron más de 3.000 muertes anuales por apendicitis en Inglaterra y Gales; la cantidad descendió a 1.774 en 1945, a 498 en 1964 y a 375 en 1969. En 1985, las muertes anuales fueron sólo 147, de las cuales 10 se registraron en niños de entre 1 y 14 años (cuatro muertes masculinas y tres femeninas por millón de habitantes). Las estadísticas citadas por uno de los más expertos cirujanos de su época, cuando todavía no se disponía de antibióticos, son de gran interés: Tumer, revisando más de 2.500 apendicectomías personales encontró una mortalidad del 0,68% en casos de apendicitis aguda en estadios tempranos. Sin embargo, ésta se elevó a cerca del 10% en casos de peritonitis localizada y al 29%. en casos de peritonitis difusa. La mortalidad global en toda la serie fue del 3,5%. En contraste, Peltokallio y Tykka revisaron cerca de 10.000 casos de apendicectomía en Helsinki y encontraron sólo 29 muertes (0,27%).77 En el grupo sin perforación, la mortalidad llegó al 0,12% y en el grupo con perforación al 1,18%. Pieper y col. encontraron solamente 2 muertes en su revisión de 1.018 apendicectomías (0,2%). Una de éstas fue una mujer de 73 años que falleció por una embolia pulmonar y la otra una mujer de 84 años que murió por un infarto de miocardio.

Las muertes que se observan como resultado de una apendicitis en general afectan a lactantes o ancianos y se asocian con demoras en el diagnóstico y con la presencia de peritonitis avanzada. Estas muertes también se relacionan con otros cuadros médicos graves, en particular enfermedades miocárdicas o pulmonares.

 

Conclusiones

Es fundamental la participación del cirujano en el diagnóstico y tratamiento de la apendicitis aguda.

Se han realizado múltiples estudios tratando de mejorar y facilitar el diagnóstico de la apendicitis aguda; sin embargo, en el último año se llevaron a cabo estudios donde se concluye que el uso de proteína C reactiva (PCR) es lo único que asociado a la clínica y al nivel de los leucocitos nos puede ayudar a diferenciar entre un caso negativo para apendicitis y una apendicitis aguda complicada y no complicada.

Un tema en boga en la actualidad es el manejo conservador de la apendicitis aguda con antibióticos de amplio espectro, por lo que se han realizado nuevos estudios donde se demuestra que este tipo de tratamiento puede ser efectivo en las etapas tempranas y no complicadas de la enfermedad, pero siempre se debe tener en cuenta la posibilidad de cirugía y complicación de la entidad si no se guarda una vigilancia estrecha del paciente sometido a este tipo de tratamiento.

Por último, las técnicas mínimamente invasivas para apendicectomía han tratado de disminuir aún más el número y tamaño de las incisiones, desarrollando ahora la cirugía con un solo puerto. Este tipo de cirugía no ha demostrado ventajas sobre la cirugía laparoscópica convencional en manos de cirujanos expertos en el área  y actualmente la única ventaja que podría llegar a tener es la cosmética.

No hay comentarios.: